- J
- C
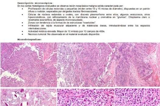
Emily Méndez le fue diagnosticado el 10 de enero de 2019 un Sarcoma de Ewing extraoseo con matastasis en canal medular, que requiere de Quimioterapias, Radioterapias, Medicamentos e Intervenciones Quirurgicas, las cuales son muy costosas y mayormente no se consiguen en nuestro pais (VENEZUELA). Nos hemos visto obligados a solicitar ayuda monetaria para poder cubrir los gastos ya que por la situacion economica que atravesamos se nos hace dificil.






Organizer and beneficiary
Vladimir Batista
Beneficiary

