- S
- N
In 2016, Kacey and Jerrod decided to start trying for a baby. In 2016, Kacey and Jerrod discovered that Kacey had a tumor on her pituitary gland that would make it incredibly hard to conceive.

Four years, 1 pregnancy loss, 2 surgeries, 1 round of radiation, hormone therapy, 2 failed IUIs, 1 round of IVF later...they're having TWINS!

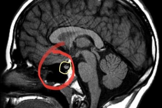
On top of the medical expenses that come with fertility treatment, both Kacey and Jerrod were diagnosed with COVID-19 last year, which put them both out of work for a few weeks. Then just last week, Kacey was rushed to the emergency room when her vision doubled and she had an intense migraine. She got an MRI which revealed that her tumor is currently the largest it's ever been (circled in yellow is a normal sized gland, Kacey's has currently swelled to the size of the red circle).

Given that Kacey is currently 28 weeks pregnant with twins, her neurosurgeon decided against a third brain surgery. Her OB has instructed her to take two weeks short-term disability, which unfortunately only pays a percentage of her current salary. They're currently seeing four specialists once a week for the next month, at least. Jerrod loves his job at Aflac, but the care Kacey needs to get these babies here safely and shrink this tumor requires more financial support.
That's where we come in, friends. Kacey and Jerrod have been showered in prayer, but now they need our financial help. Let's give generously and help this wonderful family breathe a little easier, so they can focus on their two little miracles!


Four years, 1 pregnancy loss, 2 surgeries, 1 round of radiation, hormone therapy, 2 failed IUIs, 1 round of IVF later...they're having TWINS!

On top of the medical expenses that come with fertility treatment, both Kacey and Jerrod were diagnosed with COVID-19 last year, which put them both out of work for a few weeks. Then just last week, Kacey was rushed to the emergency room when her vision doubled and she had an intense migraine. She got an MRI which revealed that her tumor is currently the largest it's ever been (circled in yellow is a normal sized gland, Kacey's has currently swelled to the size of the red circle).

Given that Kacey is currently 28 weeks pregnant with twins, her neurosurgeon decided against a third brain surgery. Her OB has instructed her to take two weeks short-term disability, which unfortunately only pays a percentage of her current salary. They're currently seeing four specialists once a week for the next month, at least. Jerrod loves his job at Aflac, but the care Kacey needs to get these babies here safely and shrink this tumor requires more financial support.
That's where we come in, friends. Kacey and Jerrod have been showered in prayer, but now they need our financial help. Let's give generously and help this wonderful family breathe a little easier, so they can focus on their two little miracles!

Organizer and beneficiary
Jerrod Nutt
Beneficiary

