This is Maggie Springsong and as many of you know we rescue special needs cats. Well Maggie WAS NOT special needs until she found herself living in a homeless encampment in Southern California where she was the victim of abuse. Maggie is about one year old and tiny for her age.
One day someone or someone’s decided to cut both of Maggie's back legs off below her knees. We know that is hard to hear and her veterinarian team and caretakers have been shedding tears about this senseless, horrible and disgusting act. Are we angry, of course, but right now Maggie is the focus of our attention. She doesn't deserve more anger or fear.
Michele our President found out Maggie had been taken to a local shelter after a passerby saw her and called Animal Control they came got her straight to their veterinarians for emergency treatment. She was stabilized but she needed extensive medical care than they could give her.
Michele drove straight to the shelter and brought her home. She reached out to our hero veterinarian team and they got Maggie in the next day. There was no way to save what was left of her bottom legs (they cut them off above her feet), so she had no choice but to amputate them to the knees and Maggie spayed at the same time.
Maggie is on great pain management, antibiotics and she is at Michele's home where she will be overseeing her recovery every step of the way and together they will embark together on Maggie’s healing journey both physical and spiritual.
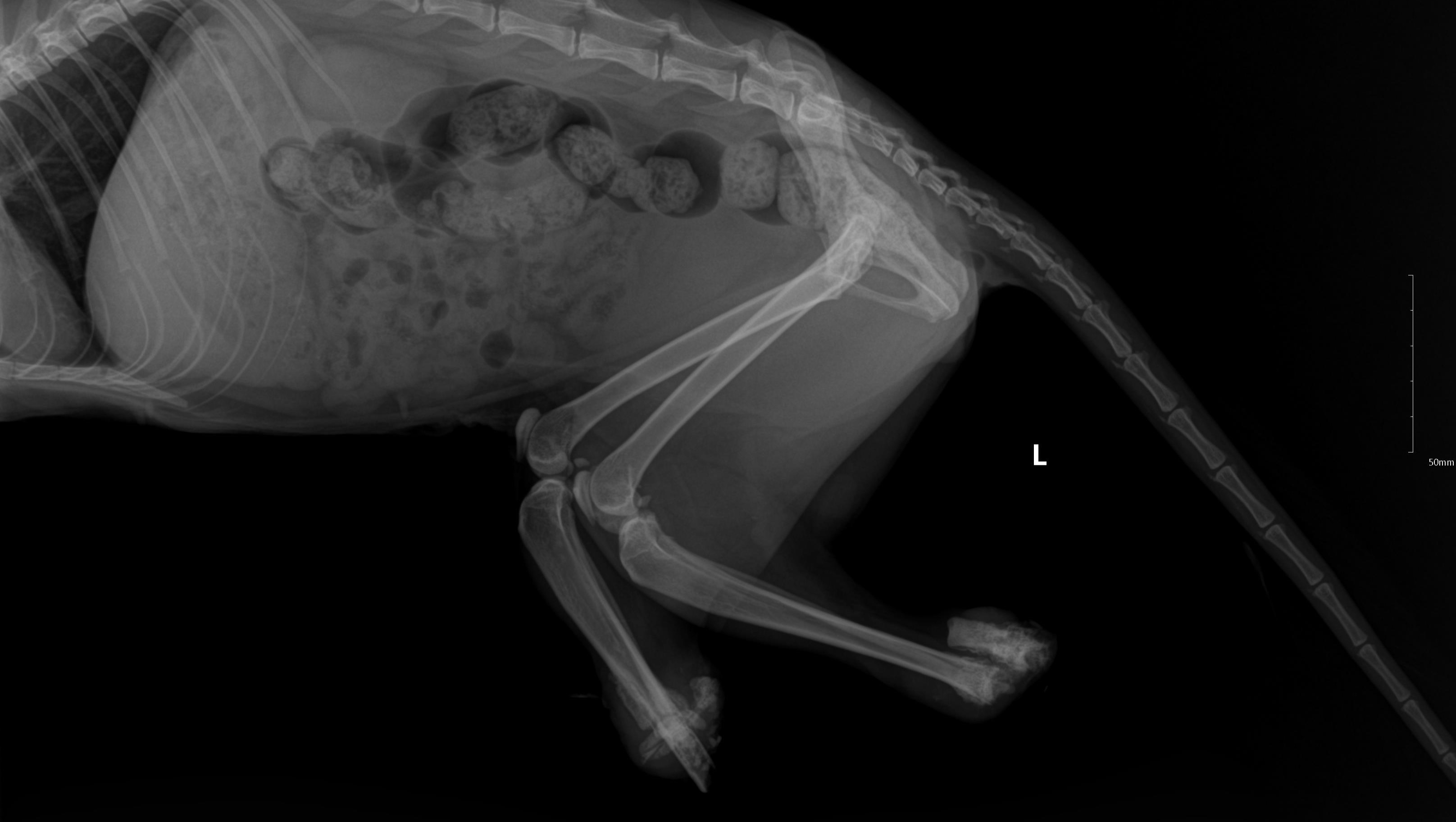
We know questions will be asked about is this what really happened? Yes, it is as there were witnesses seeing the act happen. Will the perpetrator(s) be punished, unlikely, as usual as no one is coming forward with who did this to her. Also, when looking at her x-rays you can see her bones were cut right through.
Maggie is a great candidate for prosthetics once she has healed so we want to make sure there are enough funds to purchase these for her.
Even $1.00 helps to cover the cost of her surgery, medications, prosthetics, food and special litter (it's also tax deductible).
We know these images are hard to see and we cannot imagine the trauma and pain she must have been in. These were taken when she arrived at the shelter before her surgery.
Thank you for always caring and keep an eye on our social media as we want you to be a part of her healing journey.
Organizer
Milo's Sanctuary, Inc.
Beneficiary

