- E
- M
- E
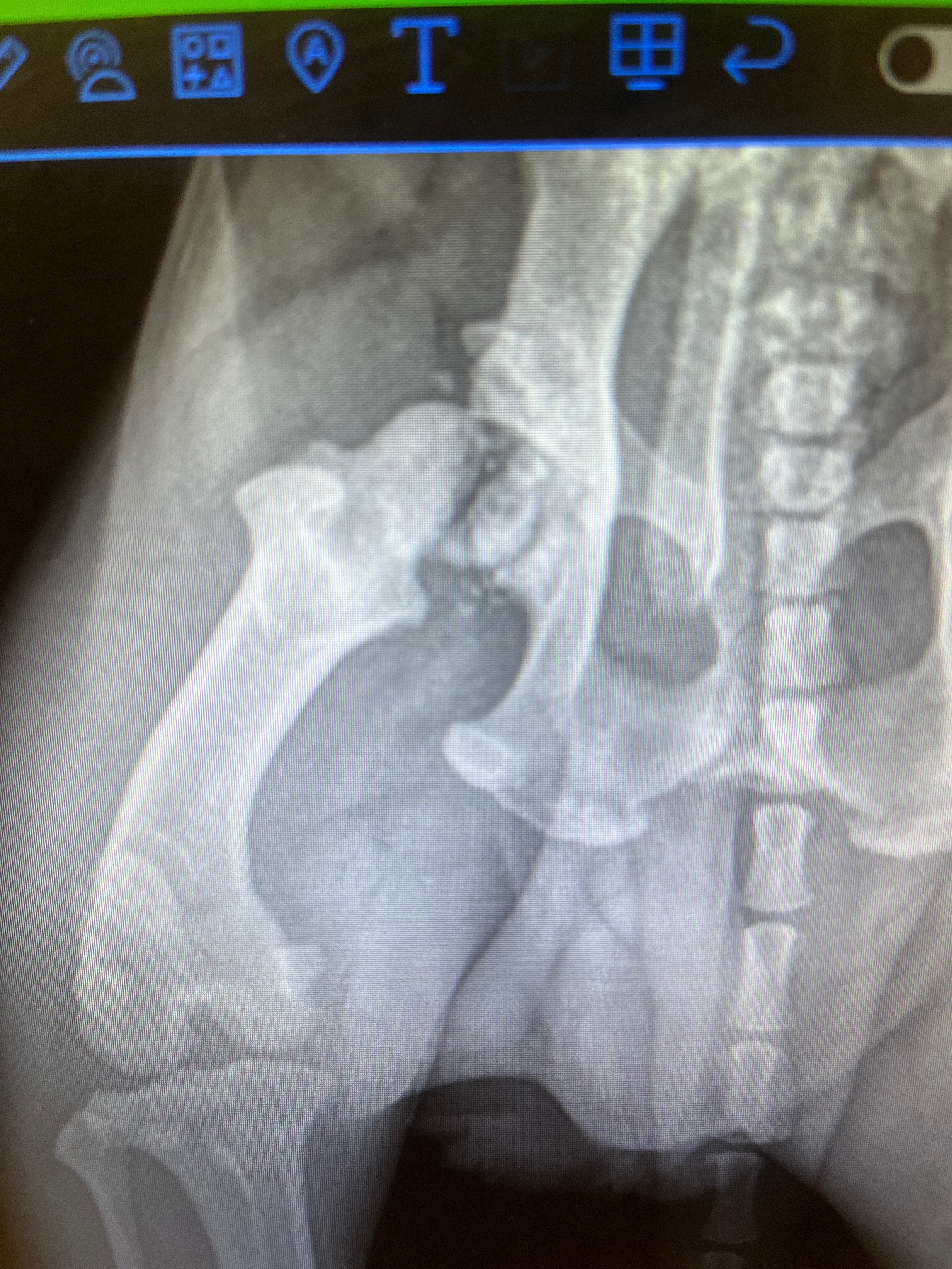
This cute little guy was found by a good samaratin, dumped in a field left with a bowl and a bag of dog food! Instantly trusting of humans he hopped in their car to safety. Now Blackjack is in our care awaiting his forever home but he’s got a hurdle to cross: Upon intake we noticed he had a limp, and thru X-rays it was discovered that he had suffered an old injury breaking the top of his femur bone! An FHO surgery will go in and clean up the small bits of broken bone that is causing his discomfort and he’ll be ready to live out an active, happy life. Help us get this boy on the road to his bright new future!
Organizer
Fresno Bully Rescue
Beneficiary





