
Julz Surgery and Medical Expenses
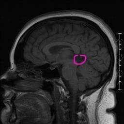
I have struggled with severe 'migraines' my entire life. They are debilitating. In August 2013, I went to the ER after multiple symptoms culminated in me falling from severe dizziness. I spent three days in the emergency room and after multiple tests, I was told that I had a 2.4cm pineal cystic tumor in my brain, but that it was not causing my symptoms, and I was dismissed with no other explanation.
I dealt with these symptoms for over 2 years and countless ER visits before a follow up CT showed that the cyst had grown to 2.7cm. After additional testing, it was discovered that while my cyst had grown a little, I also have severe venous sinus stenosis of the right dominant transverse, as well as empty sella syndrome. I was also given a positive diagnosis of Intracranial hypertension after a lumbar puncture showed high opening pressure.
These are not common conditions, and not a lot is known about them. Basically, the pressure inside my brain has increased above normal limits (IIH), my pituitary gland is flattened or abnormally filled with spinal fluid (empty sella syndrome), and the main sinus, or passageway, in my brain that blood and cerebral spinal fluid flow through is nearly closed completely. This puts me at extreme high risk of stroke, blood clots, aneurysm, seizures, and even blindness.
Additionally, I am also going to have a few procedures done in regards to my reproductive health, including a biopsy that will check for pre- and early cancer cells.
In less than 2 months, I have found out that I need at least 2 surgeries, with the possibility of more in the future, pending further testing. I have been on a Leave of Absence from work during this time while I get my health issues taken care of, meaning I do not have any income at this time. I will not have any income until 2 weeks after I return to work, which will not be until February 22nd at the earliest.
My first surgery is scheduled on February 16th for reproductive health issues. It is a fairly minor procedure, but it is absolutely necessary and a biopsy is being done. I will find out on February 10th when my next surgery will be, which is a neural angiogram. This procedure will measure the exact severity of the stenosis in my brain, and whether or not a stent is needed to open up the sinus once more. I will not know if I need the stent until the angiogram, and I will not know if it has been placed until I awake from anesthesia.
I have also been contacted by a world famous neurosurgeon regarding a second opinion on my pineal cystic tumor. He wants me to do an in person consultation to determine whether the cyst is causing any of my symptoms, and whether or not it should be surgically removed. It is far larger than average pineal region tumors and has shown growth in a short period of time, so it is imperative that I get attention from the best for my future. However, Dr. Kim works at a hospital in Houston, TX, so I need to find a way there to meet with him in March for the consultation.
I need your help. I do have medical insurance, but it does not cover 100% of my medical procedures and costs, and I cannot pay for these surgeries on my own. I need help getting to Houston so I can see a neurosurgeon who specializes in pineal cystic tumors as well.
I hate asking for help, it has taken me a while to even get up the nerve to create this. I don't like taking money from people, but sometimes we need to swallow our pride and ask for help, and that is what I'm doing now.
If you can donate, I would be eternally grateful. These procedures may save my life. If you cannot donate, that's ok, just please share this as much as you can for visibility.
Thank you!
What is Intracranial hypertension?
Empty Sella Syndrome
Symptomatic Pineal Cysts
Brain stenting for venous sinus stenosis



I dealt with these symptoms for over 2 years and countless ER visits before a follow up CT showed that the cyst had grown to 2.7cm. After additional testing, it was discovered that while my cyst had grown a little, I also have severe venous sinus stenosis of the right dominant transverse, as well as empty sella syndrome. I was also given a positive diagnosis of Intracranial hypertension after a lumbar puncture showed high opening pressure.
These are not common conditions, and not a lot is known about them. Basically, the pressure inside my brain has increased above normal limits (IIH), my pituitary gland is flattened or abnormally filled with spinal fluid (empty sella syndrome), and the main sinus, or passageway, in my brain that blood and cerebral spinal fluid flow through is nearly closed completely. This puts me at extreme high risk of stroke, blood clots, aneurysm, seizures, and even blindness.
Additionally, I am also going to have a few procedures done in regards to my reproductive health, including a biopsy that will check for pre- and early cancer cells.
In less than 2 months, I have found out that I need at least 2 surgeries, with the possibility of more in the future, pending further testing. I have been on a Leave of Absence from work during this time while I get my health issues taken care of, meaning I do not have any income at this time. I will not have any income until 2 weeks after I return to work, which will not be until February 22nd at the earliest.
My first surgery is scheduled on February 16th for reproductive health issues. It is a fairly minor procedure, but it is absolutely necessary and a biopsy is being done. I will find out on February 10th when my next surgery will be, which is a neural angiogram. This procedure will measure the exact severity of the stenosis in my brain, and whether or not a stent is needed to open up the sinus once more. I will not know if I need the stent until the angiogram, and I will not know if it has been placed until I awake from anesthesia.
I have also been contacted by a world famous neurosurgeon regarding a second opinion on my pineal cystic tumor. He wants me to do an in person consultation to determine whether the cyst is causing any of my symptoms, and whether or not it should be surgically removed. It is far larger than average pineal region tumors and has shown growth in a short period of time, so it is imperative that I get attention from the best for my future. However, Dr. Kim works at a hospital in Houston, TX, so I need to find a way there to meet with him in March for the consultation.
I need your help. I do have medical insurance, but it does not cover 100% of my medical procedures and costs, and I cannot pay for these surgeries on my own. I need help getting to Houston so I can see a neurosurgeon who specializes in pineal cystic tumors as well.
I hate asking for help, it has taken me a while to even get up the nerve to create this. I don't like taking money from people, but sometimes we need to swallow our pride and ask for help, and that is what I'm doing now.
If you can donate, I would be eternally grateful. These procedures may save my life. If you cannot donate, that's ok, just please share this as much as you can for visibility.
Thank you!
What is Intracranial hypertension?
Empty Sella Syndrome
Symptomatic Pineal Cysts
Brain stenting for venous sinus stenosis



Organizer
Juliandra Ivie
Organizer
Albuquerque, NM