Let's get Nino Hip with it!
Dear friend we have not met yet,
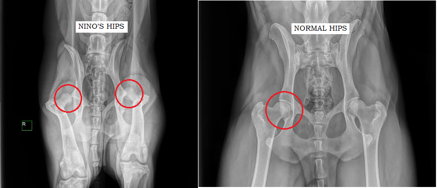
My name is Robyn McGrade. This is to handsome face of my long journey to motherhood and my biggest blessing. That cute mug belongs to my third fur babe named Nino. I adopted Nino on October 3rd, 2015. He came home with me the same day I met him. We did not share an immediate connection and it took roughly a week for me to finally catch the feels for him and that feeling has only grown stronger and stronger. I took Nino to the vet two days after I adopted him and he left the vet with a clean bill of health. I felt very confident that I made the right decision in choosing him to join my family. It became clear over time that Nino was masking some serious behavioral issues and physical ailments as well. Nino was incredibly fearful, so much so that he was once sitting on my lap outside my Starbucks store, a man approached him with a dog treat and Nino took was so shaken up by this greeting he relieved himself all over my lap. I decided to enroll him in puppy-play dates and an obedience class at a local training facility, the Canine Coach. Nino shattered every ceiling his mind had set for himself and grew into a brave, social, and loyal babe. Nino completed obedience one and obedience two, passed his Canine Good Citizenship test and hopefully can start his journey towards therapy dog work. Through this all he has found some interlopers such as mange and a nasty infection of worms not once but twice. He is a fighter in every respect of the word. I always had a feeling something was off with his hips, and our vet hoped he would grow out of the awkwardness displayed but towards the end of May we went for his check up on his worm situation and I decided to get some radiographs done on his hips. I have always assumed he had a mild form of hip dysplasia. My vet retuned with a bleak statement of “Nino’s hips are all screwed up.” My heart sank. I am programmed to expect bad but what was shared was not bad, it was the worst. Nino was basically born without hip sockets. His hip bones are for all intents and purposes free floating around his hip and he is in an incredible amount of pain.

My vet then followed up with a haunting statement, “in his case, euthanasia is an option.” For my dear young
soul, Nino bear, the perfect embodiment of love, light, and healing, I must say to my dear babe, no, that is not an option. His wonderful journey had only just begun. You have never given up and as your mother I will do the same. His smile shines far too bright to go dark. The money raised in our campaign will be used directly towards his total hip replacements and follow up care. With this funding Nino will finally be able to live a pain-free, healthy and happy life. All the while, able to help others who were in the position he is in currently. His future is full of hope and promise thanks to your love and support. Your consideration and support means the world to us.
We thank you.
xoxo,
Robyn and Nino.
We are so very thankful for all the support we have received so far! It is a day by day process. Some days are good and others are really bad. A few days a week my wake up time is 3:30am and one day last week Nino transitioned to his other sleeping quarters which is my fathers bed. His bed is maybe 2 feet off the ground and Nino with all of his might mustered the energy to jump up, missed the mark and feel straight on his back. He was more embarrassed than anything else but that sort of struggle is gut wrenching to watch. We are staying positive and feeling hopeful that all will work out. He was brought into my life for a reason and I believe it is because I have such a loving community of friends and family to help carry us through and bring us into a bright and healthy future. The support has been super overwhelming and uplifting. Below is a picture of Nino in his favorite spot, Afton State Park at the beach where he loves to swim his worries in the buoyant waters. It is moment like this that keep us in good spirits! We are really getting somewhere and I do believe all of us can make this pup the happiest and healthiest guy around. Please keep us in your thoughts as we continue on.

The sand man!
Help spread the word!
199
shares on Facebook
Leave a Comment
Post Comment
Be the first to leave a comment on this campaign.
Ask GoFundMe a Question
Report Campaign