Youki is the sweetest, most playful puppy you could ever meet. He’s full of life, endlessly curious, and never fails to bring happiness to our home. He loves biting and nibbling everything in his line of sight. He loves being chased, especially after stealing a sock from the landry you were planning on washing. Zoomies with my family is his favourite time of day. He’s our little bundle of joy, which also reflects his Japanese name Youki (陽気) which means cheerful and lively.
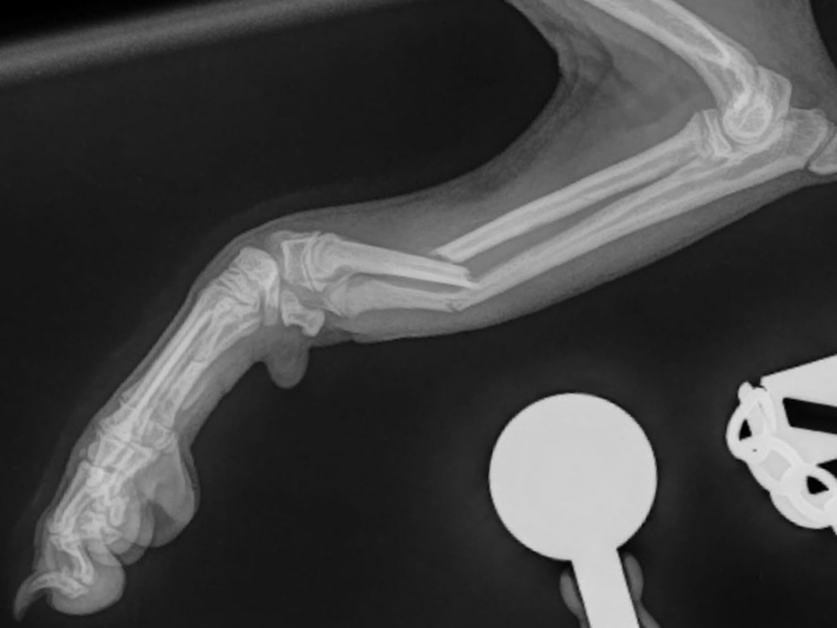
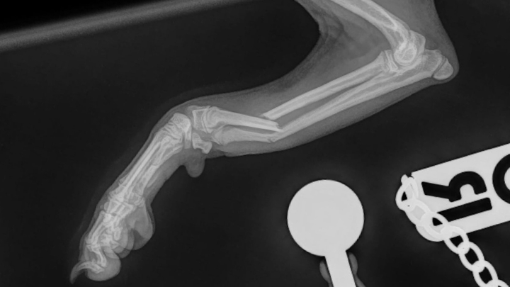
Right now, our hearts are breaking. While playing, Youki broke his leg. It has been temporarily splinted, but the orthopedic vet told us that without surgery his leg may not heal properly. Hearing that was devastating. The operation and costs £5000, and despite our desperate efforts, the insurance company cannot cover it. We are heartbroken because we simply cannot afford this amount, yet we know surgery is his best chance to recover and live the joyful, active life he deserves.
He is only 5 months old. Instead of enjoying walks, socialising with other dogs, and learning through puppy training, he is in pain and missing out on the precious early experiences that shape a happy and confident dog. It’s crushing to watch him confined and hurting, when he should be out exploring the world.
We have loved him since the moment we brought him home at 8 weeks old. He came to us underweight, underfed, and neglected by his breeder, but we promised him a better life. Now we are desperate to keep that promise.
Please, if you can, help us give Youki the chance he deserves. Any donation, no matter how small, would mean the world to us. Please support by sharing this post aswell. From the bottom of our hearts, thank you for helping our little boy heal.






