As some of you are aware my 15 year old nephew Callum, became suddenly short of breath so his mum Alli took him to the hospital for a check-up. By the end of the day Callum was diagnosed with Dilated Cardio Myopathy.
Over the next week Callum was monitored in Canberra and when treatment options ran out; he was moved to Sydney. Just 24 hours after arrival Callum’s heart went into total failure and he was placed into Intensive Care for stabilisation. It was here the doctors told Alli they could do nothing more for Callum and he would need a heart transplant.
Callum had to be stabilised and air lifted to the Royal Children’s Hospital for urgent lifesaving treatment.

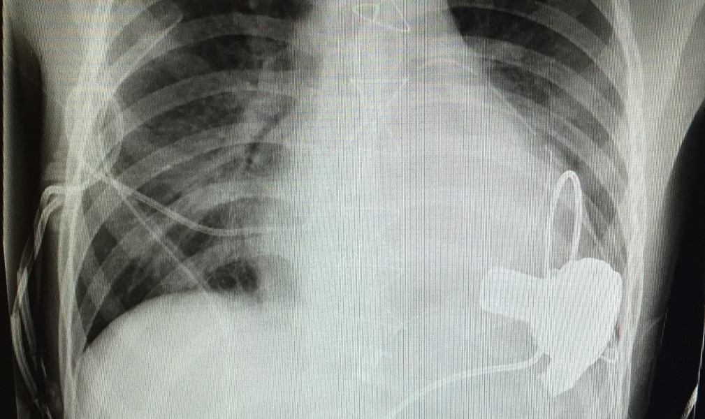
Despite several attempts to stabilise Callum on medication his heart just couldn’t cope. So on the seventh day after arrival at RCH, Callum underwent open heart surgery to have a Left Ventricular Assistance Device placed into his heart. This device along with a large number of medications will keep Callum alive until a suitable doner can be found for transplant.

Once Callum is stable on LVAD they are able to allow him to rehabilitate ready for transplant. Once he’s had his transplant he will require a lifetime of medication, and will need to fly interstate for routine biopsies to test for rejection. The worst part is transplanted hearts statistically only last an average of 20 years; so he will have to go through it all again when he’s an adult.
After Callum’s surgery and extensive testing Alli was told that Callum’s case was idiopathic – meaning they have no idea what caused his heart failure and will never know.
After three hospitals in three weeks, no sleep and recovery from the initial shock; Alli was able to start notifying people about Callum’s life changing condition. Like many of you we have felt utterly powerless to do anything to help Callum and Alli during this traumatic journey; and I wanted to be able to contribute something to assist in another way.
Alli and Callum have had to live interstate since February for an indefinite period of time. So far they've relyied upon the support of family, friends and charity organisations for accommodation, food and transport. Unfortunately the usual bills back home keep rolling in; and now there are significant additional costs associated with Callum’s ongoing medical care and education.
With all these things to worry about, a long rehabilitation process; and significant medical support requirements, any donations towards supporting Callum’s journey would be greatly appreciated.
As you all know Alli and Callum have both always been the first to put their hands up to help or support family, friends and even strangers in their times of greatest need. But as you all know Alli would never ask for anything, so I wanted to do this to give something back.
Over the next week Callum was monitored in Canberra and when treatment options ran out; he was moved to Sydney. Just 24 hours after arrival Callum’s heart went into total failure and he was placed into Intensive Care for stabilisation. It was here the doctors told Alli they could do nothing more for Callum and he would need a heart transplant.
Callum had to be stabilised and air lifted to the Royal Children’s Hospital for urgent lifesaving treatment.

Despite several attempts to stabilise Callum on medication his heart just couldn’t cope. So on the seventh day after arrival at RCH, Callum underwent open heart surgery to have a Left Ventricular Assistance Device placed into his heart. This device along with a large number of medications will keep Callum alive until a suitable doner can be found for transplant.

Once Callum is stable on LVAD they are able to allow him to rehabilitate ready for transplant. Once he’s had his transplant he will require a lifetime of medication, and will need to fly interstate for routine biopsies to test for rejection. The worst part is transplanted hearts statistically only last an average of 20 years; so he will have to go through it all again when he’s an adult.
After Callum’s surgery and extensive testing Alli was told that Callum’s case was idiopathic – meaning they have no idea what caused his heart failure and will never know.
After three hospitals in three weeks, no sleep and recovery from the initial shock; Alli was able to start notifying people about Callum’s life changing condition. Like many of you we have felt utterly powerless to do anything to help Callum and Alli during this traumatic journey; and I wanted to be able to contribute something to assist in another way.
Alli and Callum have had to live interstate since February for an indefinite period of time. So far they've relyied upon the support of family, friends and charity organisations for accommodation, food and transport. Unfortunately the usual bills back home keep rolling in; and now there are significant additional costs associated with Callum’s ongoing medical care and education.
With all these things to worry about, a long rehabilitation process; and significant medical support requirements, any donations towards supporting Callum’s journey would be greatly appreciated.
As you all know Alli and Callum have both always been the first to put their hands up to help or support family, friends and even strangers in their times of greatest need. But as you all know Alli would never ask for anything, so I wanted to do this to give something back.

