Wow this sucks I’ve got cancer

  • D
  • R
31 donors
0% complete

$4,561 raised of 

Wow this sucks I’ve got cancer

Donation protected

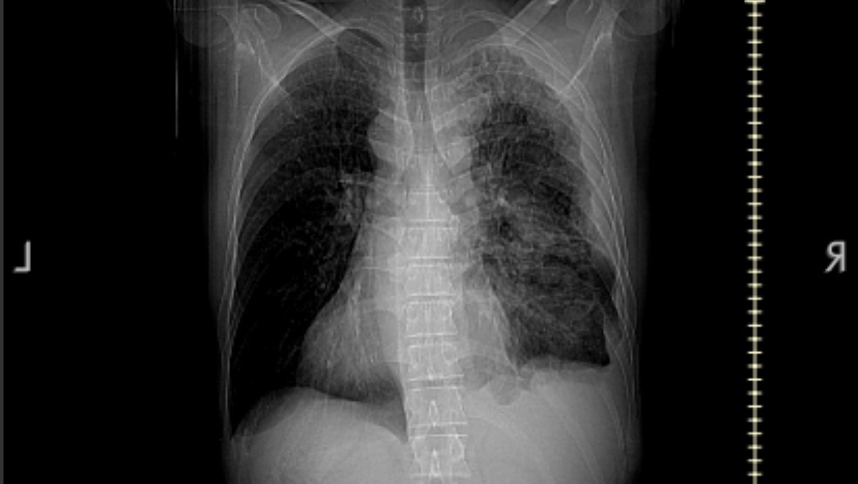
My name is Ryan Nestor. I’m 42 years old and recently I found out I have stage 4 lung cancer. Unfortunately it’s in the pleura surrounding my lung and it’s rare. The best I can hope for is treatment to make me comfortable, recovery would be a miracle. It’s taken like 80% of my functionality, so working or even basic activities are extremely difficult for me. I can’t do really anything I used to like to, anything physical is too much unless it’s very brief. I’m asking for help because I can’t work and I’ve applied for disability benefits, but they take time to be approved. Anything will help. Thank you.
Ryan

Organizer

Ryan Nestor
Organizer
Slatington, PA
  • Medical
  • Donation protected

Your easy, powerful, and trusted home for help

  • Easy

    Donate quickly and easily

  • Powerful

    Send help right to the people and causes you care about

  • Trusted

    Your donation is protected by the GoFundMe Giving Guarantee