Help Me Smile Again—Urgent Dental Restoration Needed
Hi, my name is Anthony Leroy Loewen Banman, and I’m reaching out with deep humility and hope.
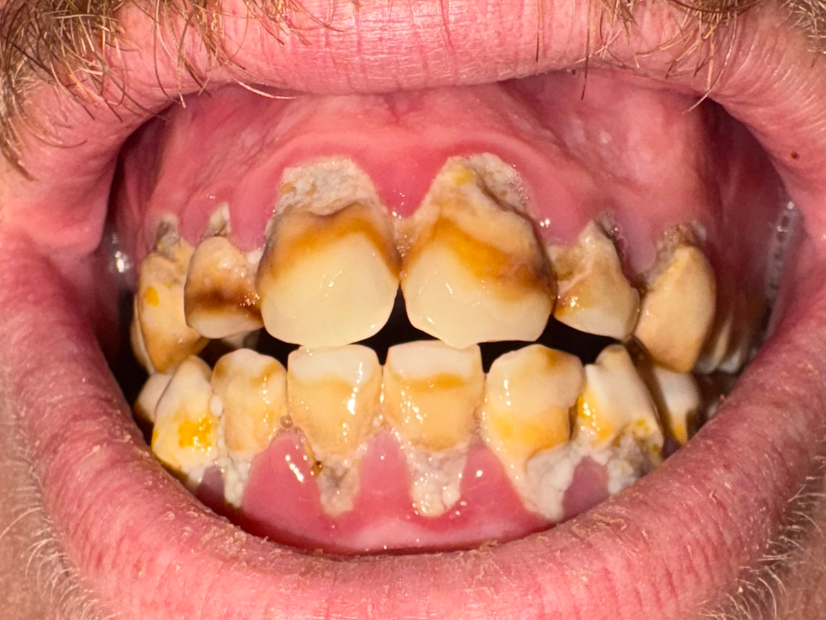
For years, I’ve struggled with severely deteriorating teeth. After visiting a low-cost dentist due to financial hardship, I received treatments that only made things worse. Since then, my teeth have continued to shatter, break, and chip—even while eating soft foods like pizza. The pain has become constant. I often struggle just to speak or eat without discomfort, and my self-confidence has taken a huge hit. I avoid smiling. I feel ashamed.
Now, the damage has progressed to the point where my gums are receding and rotting, and it’s beginning to affect my speech. I’m in daily pain, and I can no longer wait. I need professional, medically sound treatment from a qualified specialist. Unfortunately, due to life circumstances and medical bills from my wife’s recent surgery, we simply cannot afford the costs.
There are three possible treatment paths doctors have discussed:
1. Full extraction and dentures – A more affordable option but with major life adjustments.
2. Full dental implants – Permanent screw-in teeth costing up to $25,000 per tooth.
3. Root canals and crowns for each tooth – Estimated at $5,000–$7,000 per tooth, but this would save and restore my natural smile.
I’m not asking for luxury—just a chance to live pain-free, eat properly, speak with confidence, and smile without shame. Any support, big or small, will bring me one step closer to healing and hope.
Thank you from the bottom of my heart for reading, for sharing, and for helping me get my life back.
With deep gratitude,
Anthony
Ayúdame a Sonreír de Nuevo — Necesito Tratamiento Dental Urgente
Español:
Hola, mi nombre es Anthony Leroy Loewen Banman, y me dirijo a ustedes con humildad y esperanza.
Desde hace años he estado luchando con un grave deterioro dental. Acudí a un dentista económico debido a la falta de recursos, pero los tratamientos que recibí solo empeoraron mi situación. Desde entonces, mis dientes han comenzado a romperse, astillarse y desmoronarse, incluso al comer alimentos suaves como pizza. El dolor es constante. Me cuesta hablar, comer, y sobre todo, me da vergüenza sonreír. Me siento avergonzado y desanimado.
La situación ha avanzado al punto en que mis encías están retrocediendo y comenzando a pudrirse, y ya está afectando mi forma de hablar. Vivo con dolor diario, y ya no puedo seguir así. Necesito atención profesional urgente de un especialista calificado. Pero lamentablemente, debido a nuestras circunstancias y a las facturas médicas por una cirugía reciente de mi esposa, no tenemos los medios económicos para costearlo.
Existen tres opciones de tratamiento que los doctores me han mencionado:
1. Extraer todos los dientes y colocar dentaduras – Es una opción más económica, pero requiere muchos cambios en mi estilo de vida.
2. Implantes dentales completos – Dientes fijos con tornillos que pueden costar hasta $25,000 por diente.
3. Tratamiento de conducto y corona en cada diente – Estimado en $5,000–$7,000 por diente, pero ayudaría a salvar mi sonrisa natural.
No estoy pidiendo lujos—solo la oportunidad de vivir sin dolor, comer con normalidad, hablar con claridad y recuperar la confianza para sonreír. Cualquier ayuda, por pequeña que sea, me acerca a una nueva oportunidad.
Gracias de corazón por leer, compartir y por cualquier apoyo que puedan ofrecerme para recuperar mi vida.
Con profunda gratitud,
Anthony



