- M
- A
- M
Hi, I'm Ayla and this little ball of cuddles and fluff is Winnie.
On July 23rd, I woke up to Winnie shaking on the bed. When I tried to move her, she screamed out in pain.
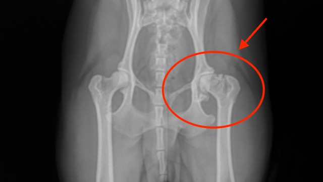
I rushed her to the emergency vet, where they took x-rays and discovered that poor Winnie's degenerative joint disease has progressed from moderate to severe.
Though sweet as ever, Winnie has been living her life in daily pain. Despite my best efforts to keep her comfortable her condition has continued to deteriorate. For her to lead a full, pain-free life, she will need to have a surgery called a Femoral Head Ostectomy (FHO).
A FHO is a surgical procedure that aims to restore pain-free mobility to a diseased or damaged hip by removing the head and neck of the femur - AKA they are gonna take off part of Winnie's bone!!
This part!
Apparently, bone removal is expensive. $4,759.07 expensive.
With the WGA and SAG on strike and my current job ending Aug 11th, I'm unsure when I will have consistent income again. But I can't put it off. Winnie needs the surgery as soon as possible. She's a trooper, but she's having trouble walking and eating due to her pain and discomfort.
If you have even just $5 to contribute to this little girl's leg - I would be eternally grateful and so would Winnie. Once she is healed from the surgery, the doctor says that she should be able to live the rest of her life not only without pain but able to enjoy the things she used to love doing. So please, consider donating. So Winnie can hike Runyon again. Like the basic bitch she is.
xoxo,
Ayla + Winnie
P.$. -- Here is the itemized bill:

