- J
Hey, y'all!
As a lot of you may know, when I got Waylon a year and a half ago he was found by some local West Philly folks after just getting hit by a car. After being brought to the vet they found he had a broken femur in his right leg. When I fostered him the original goal was to raise money so he can get his femur fixed. The money we raised, however, ended up going to another problem he had, which was a severe fungal infection in his nose. Aspergillosis is a nasty infection that if left untreated can be fatal. Obviously, the funds raised last year had to go towards treatment and a medical procedure to remove the fungal plaques and clear his nose of the infection. Even though it was devastating that we weren't able to get his femur fixed with the funds, Waylon was cleared of the fungal infection and has not any reoccurring issues with it since.
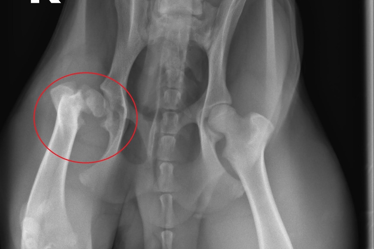
About a year and a half have gone by and his femur/hip injury seemed to have worked itself out. This past summer he was running and jumping and going on countless outdoor adventures with me, with no sign of any sort of lameness in his leg. The past month, however, has been a different story. When he is outside, he hides his pain well but has developed a very noticeable gait in his walk. Inside, when he is not being stimulated or distracted by anything he does not put any pressure on his leg and has been limping almost constantly. His right leg has developed severe muscle loss from not having pressure put on it. I brought him to the vet on 12/30/20 and spoke to a surgeon at VSEC. After acquiring new X-Rays it was revealed that on top of the fracture, he now has a large loose bone fragment present and osteoarthritis in his right leg.
Waylon hides his pain well, especially in front of others but when he is home with me he struggles to get comfortable, he has been slipping and falling more often because of how weak his right leg has become. It is really crushing me seeing my best friend in this condition, so surgery is what has to happen now.

The surgery he needs is called a Femoral Head Osectomy ( FHO). In short, the surgeon will reshape Waylon's femoral head or the ball of his femur, so it fits properly in his hip. Although he will have a sort of, cowboy strut, after the surgery due to his right leg essentially becoming slightly shorter, he will have full mobility again. VSEC has also told me also that Waylon has bilateral patella luxation or trick knees. His right knee is slightly worse than his left and before X-Rays, I was initially told he would need surgery on his knee as well, but the X-rays revealed the luxation was not too severe and surgery wasn't needed. However, Dr. Round at VSEC graciously offered to "tighten" up his right knee joint while he is under the knife for his hip. So young Waylon will get a two for one special from the awesome vets at VSEC and will be back to his old self again shortly after surgery.
This has probably been the worst year to ask for help with this, I know everyone, me included has had a rough go of things lately. The cost of animal surgery is overwhelming, I don't know how I could ever do this without asking for help, which is also hard for me to do in general. The sooner Waylon can get his surgery the better it will be for him as symptoms of osteoarthritis are already setting in. He is only 2 years old now and when I chose to adopt him I swore I would do my best to give him the best life I could, no matter what. Whatever you are able to donate is greatly appreciated, no amount is too small. Hopefully, with your help Waylon can get back to doing what he does best, being a complete maniac outside with his dog buds and all of you. We love you and appreciate any help you can offer, thanks!
As a lot of you may know, when I got Waylon a year and a half ago he was found by some local West Philly folks after just getting hit by a car. After being brought to the vet they found he had a broken femur in his right leg. When I fostered him the original goal was to raise money so he can get his femur fixed. The money we raised, however, ended up going to another problem he had, which was a severe fungal infection in his nose. Aspergillosis is a nasty infection that if left untreated can be fatal. Obviously, the funds raised last year had to go towards treatment and a medical procedure to remove the fungal plaques and clear his nose of the infection. Even though it was devastating that we weren't able to get his femur fixed with the funds, Waylon was cleared of the fungal infection and has not any reoccurring issues with it since.
About a year and a half have gone by and his femur/hip injury seemed to have worked itself out. This past summer he was running and jumping and going on countless outdoor adventures with me, with no sign of any sort of lameness in his leg. The past month, however, has been a different story. When he is outside, he hides his pain well but has developed a very noticeable gait in his walk. Inside, when he is not being stimulated or distracted by anything he does not put any pressure on his leg and has been limping almost constantly. His right leg has developed severe muscle loss from not having pressure put on it. I brought him to the vet on 12/30/20 and spoke to a surgeon at VSEC. After acquiring new X-Rays it was revealed that on top of the fracture, he now has a large loose bone fragment present and osteoarthritis in his right leg.
Waylon hides his pain well, especially in front of others but when he is home with me he struggles to get comfortable, he has been slipping and falling more often because of how weak his right leg has become. It is really crushing me seeing my best friend in this condition, so surgery is what has to happen now.

The surgery he needs is called a Femoral Head Osectomy ( FHO). In short, the surgeon will reshape Waylon's femoral head or the ball of his femur, so it fits properly in his hip. Although he will have a sort of, cowboy strut, after the surgery due to his right leg essentially becoming slightly shorter, he will have full mobility again. VSEC has also told me also that Waylon has bilateral patella luxation or trick knees. His right knee is slightly worse than his left and before X-Rays, I was initially told he would need surgery on his knee as well, but the X-rays revealed the luxation was not too severe and surgery wasn't needed. However, Dr. Round at VSEC graciously offered to "tighten" up his right knee joint while he is under the knife for his hip. So young Waylon will get a two for one special from the awesome vets at VSEC and will be back to his old self again shortly after surgery.
This has probably been the worst year to ask for help with this, I know everyone, me included has had a rough go of things lately. The cost of animal surgery is overwhelming, I don't know how I could ever do this without asking for help, which is also hard for me to do in general. The sooner Waylon can get his surgery the better it will be for him as symptoms of osteoarthritis are already setting in. He is only 2 years old now and when I chose to adopt him I swore I would do my best to give him the best life I could, no matter what. Whatever you are able to donate is greatly appreciated, no amount is too small. Hopefully, with your help Waylon can get back to doing what he does best, being a complete maniac outside with his dog buds and all of you. We love you and appreciate any help you can offer, thanks!

