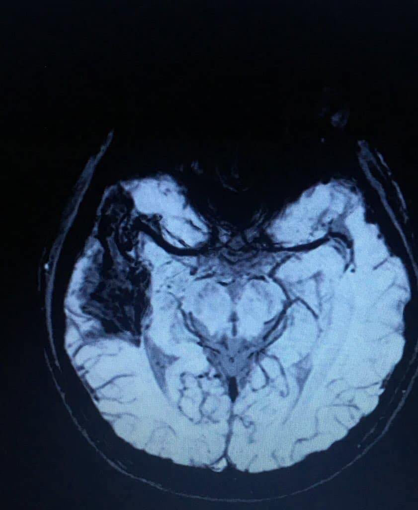
Kyle was diagnosed with Arteriovenous Malformation on the Right Temporoparietal Lobe last 2019. It developed into Epilepsy when 2020 came. He was also diagnosed with Panic Disorder in the same year. By 2021 he was diagnosed with Generalized Anxiety Disorder.

