- C
- F

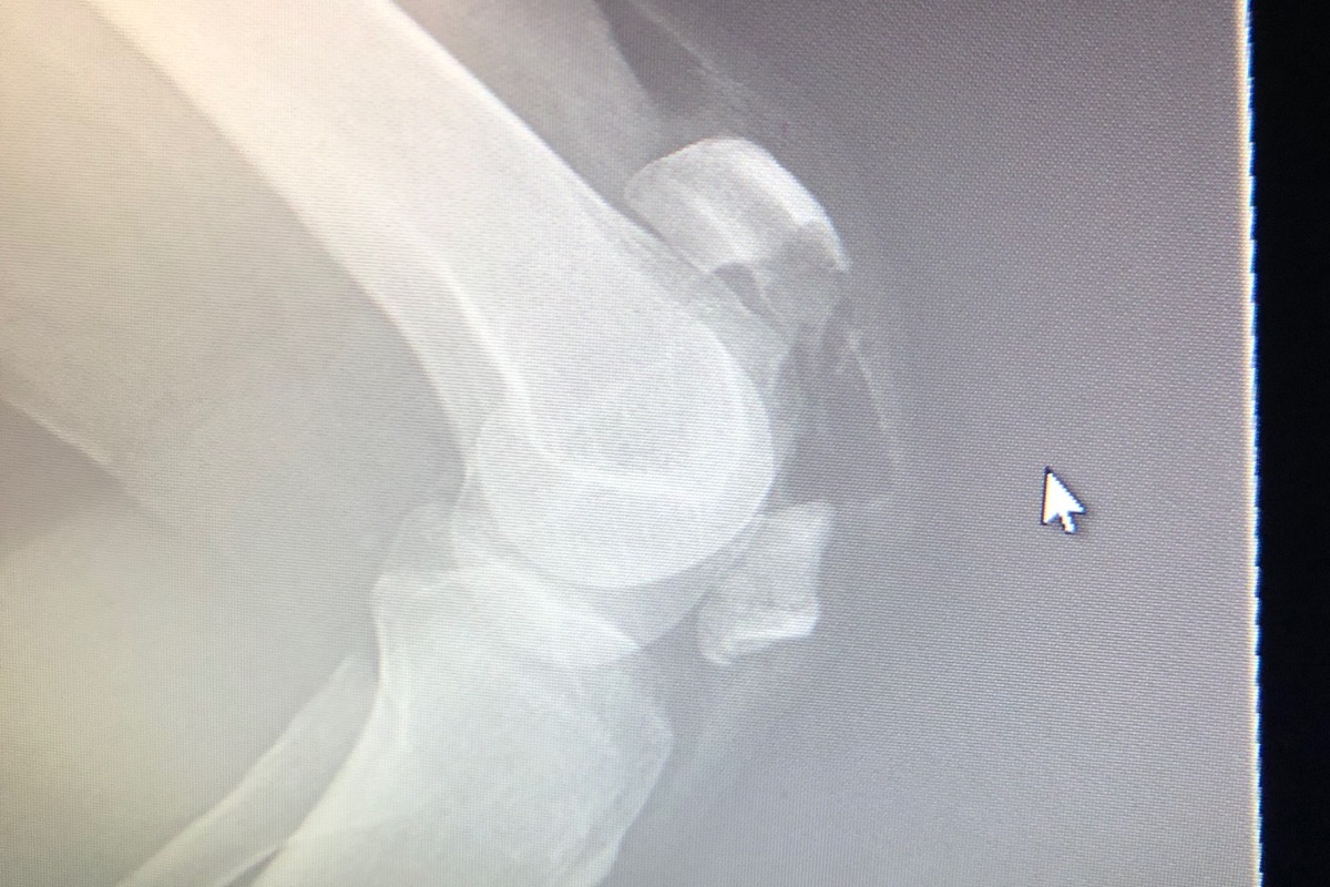
Yesterday on November 6, Andrea suffered a skateboarding injury in which she shattered her knee cap in half. She immediately underwent surgery and got screws inserted in her knee. She is currently still staying at Providence Hospital. Her medical bills are piling up and have reached 30K already. In addition, she will be unable to work while she recovers and regains her ability to walk again. Any and all help is greatly appreciated in hopes to alleviate some of this financial burden. Andrea is an actual angel who deserves the world. Let’s get her walking again!Organizer and beneficiary
Andrea K. Good
Beneficiary

