Urgent Surgery for Rose's Jaw Radiation Necrosis

Rose’s urgent jaw surgery fund will cover operation costs and post-op care

  • A
  • S
53 donors
0% complete

$3,285 raised of $11K

Urgent Surgery for Rose's Jaw Radiation Necrosis

Donation protected
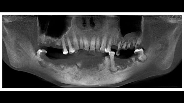
Hello! My name is Rose Maldonado. I'm 47 years old, and I'm a cancer survivor. When I just turned 26, I had cancer on my tongue. They removed almost the entire back of the right side and also extracted 47 lymph nodes. Then I received 30 sessions of radiation in the jaw and neck. I was recently diagnosed with Jaw Radiation Necrosis (JRN), a condition caused by radiation. It has destroyed all the cells and tissues of my jaw, blood does not circulate, and it has progressively expelled part of the lower teeth, It's hard for me to eat only puree and liquid, which has made me lose weight drastically, causing multiple facial inflammations, clotting, bleeding, extreme pain, fever, and severe infections. These infections put my life at great risk since they could expand to the brain, which could be fatal.

I'm raising funds because I need to be operated on urgently, and with your donation, you could help me save my life and recover my smile. My goal is to reach $11,000, which will be used to cover the cost of surgery and treatments.

Any large or small contribution makes a big difference and brings me closer to achieving it.

Strength is in the union, and I know that with your help, I will achieve it.

DONATE - SHARE - SUPPORT TODAY

If you can't donate, sharing this message is also a great help.

Thank you for your support and solidarity!

Organizer

Rose Maldonado
Organizer
Apopka, FL
  • Medical
  • Donation protected

Your easy, powerful, and trusted home for help

  • Easy

    Donate quickly and easily

  • Powerful

    Send help right to the people and causes you care about

  • Trusted

    Your donation is protected by the GoFundMe Giving Guarantee