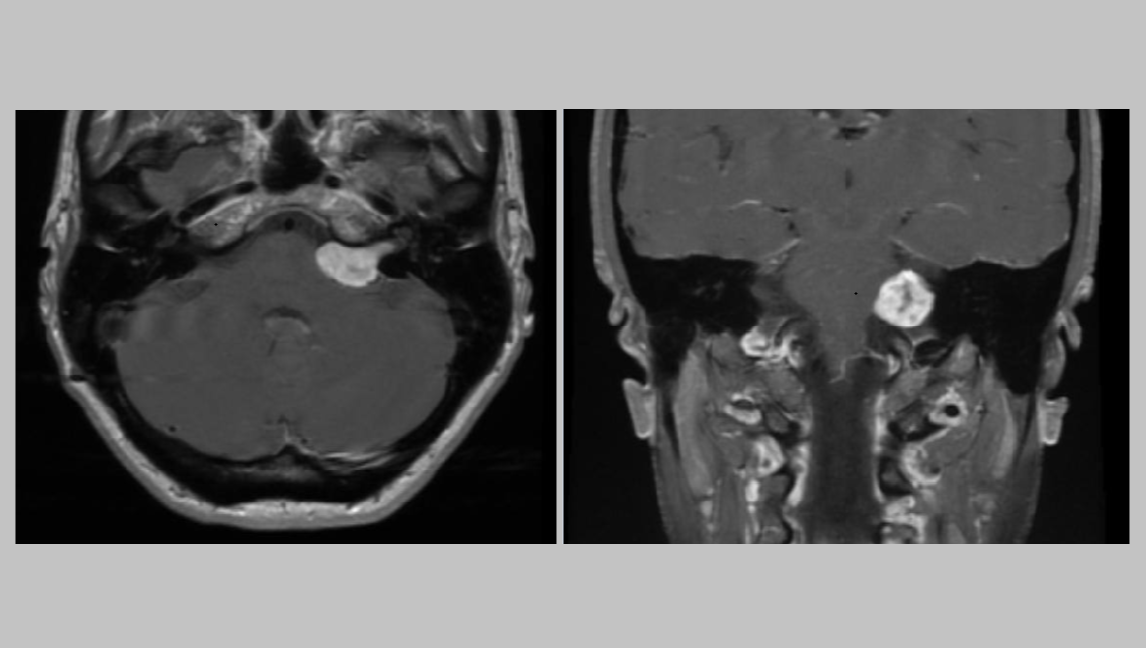
Prior to the pandemic, I was diagnosed with a treatable skull-based tumor that's compressing blood vessels, nerves, the brain stem, and other critical structures. At the time, I was already struggling physically, emotionally and financially because of several chronic conditions that include rare ones.
The tumor was originally misdiagnosed, which resulted in a delay in care for almost a year. During that time, I struggled with a lot of symptoms that adversely impacted my work and finances. Eventually, once I knew what I was dealing with, I found ways to work around the symptoms.
That said, I've been mostly extremely lucky with symptoms until recently with their progression. Anything could have happened at any time. One of my other conditions can also cause an aneurysm or blood clots. Again, I've only been able to manage this long because I've been lucky. But that luck is running out.
I attempted to seek treatment several times, but hit walls from major life events that repeatedly upended everything. These events included trying to fix the sudden changes to my work and recoup after partial job loss. I'm also a survivor of domestic violence, disability abuse, and a stalker. SARS-CoV-2 and the pandemic followed. Because of immune system dysfunction and contracting COVID more than once, I've had to take extreme precautions ever since.
I don't yet have disability coverage. I need to actually be able to see doctors more to go down that path, but I can't risk time off from work, contracting an illness or dealing with an event that sets off symptoms of one or more conditions, and then not having any way to support myself while down ill for weeks or longer, which has happened to me in the past. I've exhausted all my savings and have been struggling to keep up.
I was told by a surgeon that it would be best if I sought treatment at a tertiary or quaternary research hospital because of the complexity of my case, but I don't have high-paying health insurance or the out-of-pocket funds to cover everything. Most of the research hospitals require in-person visits after a remote consultation that's usually not covered by my insurance. The video and in-person visits have not gone well so far. I've dealt with medical negligence. Some neurosurgeons have also pointed out that I need more financial stability and supportive services before I can move forward with treatment because of the post-operative recovery time, normal and rare complications from the surgery, and likely complications from the other overlapping conditions. I don't have an extensive supportive social network or a local one to fall back on.
I know that everyone is struggling right now with growing bills and expenses, but I don't know where else to turn.
I've again tried everything I can think of to get ahead and save enough to tackle all these obstacles, including picking up new clients, which I then lost to disruptions and major emergency events, and seeking financial hardship, emergency and other forms of critical assistance through healthcare systems, government agencies, churches and non-profit organizations.
The more serious chronic conditions have gone untreated for far too long. The tumor symptoms are worsening and making it harder for me to work. I was last told that it's growing faster than normal. I have no idea today how much it has grown since the last scans, which were performed more than a year ago.
I can't afford taking time off from work because I don't have enough saved to pay ahead for the room I'm currently renting after I relocated to this area when a neurosurgical team promised to take my case and help me with settling here, which turned out to be a lie and a waste of time that eventually resulted in the loss of a housing voucher.
I'm having difficulty keeping up with regular expenses because of hard-to-control symptoms that include depression, headaches, dizziness, nausea, cognitive and memory problems, and communication aphasia. Just writing this section took a long time because I often reverse letters and use the wrong words.
I also have a rare hearing impairment from the tumor. Instead of just hearing loss, which is normal, I'm hearing everyday sounds as extremely loud, piercing at times, noises (i.e., hyperacusis), which causes nausea, lack of focus, and other symptoms that exhaust me every day and make the depression worse. I can't use a telephone without getting sick from hold music and talking to people when there's background noise.
With the immune system dysfunction, I experience daily allergic reactions and sudden asthma attacks that have also worsened over time. Uncontrolled inflammation can also cause physical damage.
How Will I Use Your Donations?
The funds will cover immediate and ongoing expenses while I try to relocate closer to the right specialists and obtain the treatments I desperately need. These expenses include:
- Non-insured items that help me manage and control symptoms
- Housing costs during disruptions so that I don't wind up street homeless
- Bills that I've fallen behind on as the result of emergencies and symptoms exacerbated by those emergencies
- Loss of wages while trying to find and obtain a surgical team
- Relocation costs
- Bills and expenses during and after surgery
Thank You for taking the time to read about my situation and considering a donation to this GoFundMe campaign.
I appreciate any help that I can receive to stop this maddening situation that one person in my life described aptly as a Sisyphean nightmare.
It's been a struggle to maintain hope, but I am hoping today that this fundraiser will help me finally see an end to this nightmare and experience a much better life.


