- S
- V
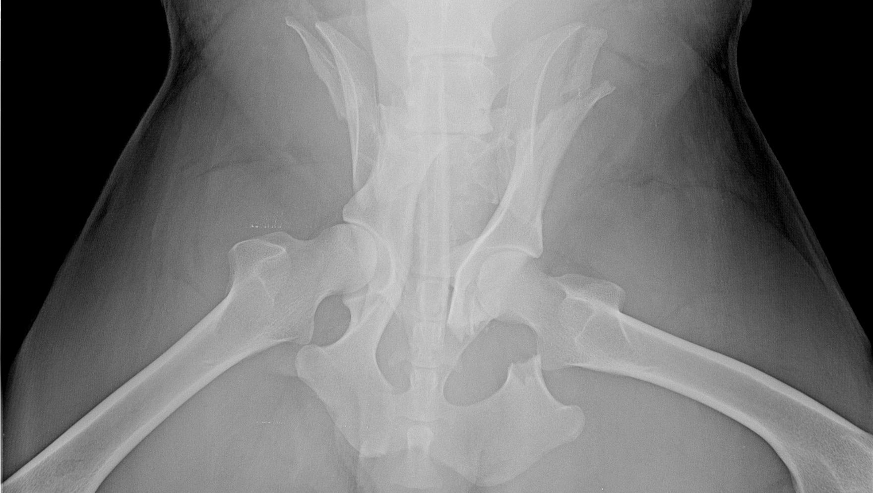
Bran, così lo abbiamo chiamato, è un lupo appenninico maschio vittima di un incidente stradale. Dopo averlo recuperato abbiamo tempestivamente trasportato l'animale al pronto soccorso veterinario dell'Università di Perugia per una prima stabilizzazione e per i primi accertamenti. Le radiografie hanno confermato i nostri timori. Una frattura bilaterale del bacino ed una fissurazione in una vertebra hanno compromesso non solo la funzionalità degli arti posteriori, ma anche quella della vescica e del basso tratto intestinale.
È stato quindi tempestivamente organizzato il trasferimento presso il Centro Tutela e Ricerca Fauna Esotica e Selvatica di Monte Adone attraverso il quale abbiamo potuto portare Bran all'Ospedale Veterinario San Michele di Lodi dove il Dott. Offer Zeira ha potuto eseguire accertamenti specialistici e mettere a punto una strategia chirurgica per tentare la riabilitazione del bacino!
Abbiamo deciso di collaborare con l'eccellenza per non lasciare nulla al caso, ma condividiamo con voi la preoccupazione di un potenziale insuccesso della chirurgia. Tutti questi esami, i tre interventi chirurgici necessari, il mantenimento, i vari trasferimenti e le attenzioni post-operatorie saranno per noi uno sforzo economico particolarmente gravoso, considerando anche che tutte le attività di recupero in Umbria continuano come se nulla fosse accaduto. È qui che chiediamo il vostro aiuto, che sia una donazione oppure una condivisione per portare il nostro appello a più persone possibili!
Tante piccole donazioni possono fare la differenza aiutandoci a riabilitare e rilasciare Bran nel suo ambiente naturale

