- J
Hola, no es fácil para mí compartir esto, pero lo hago por amor.
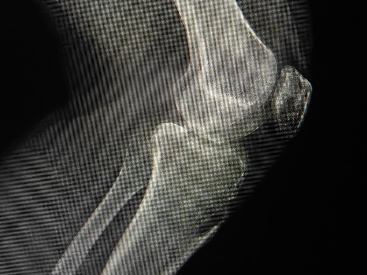
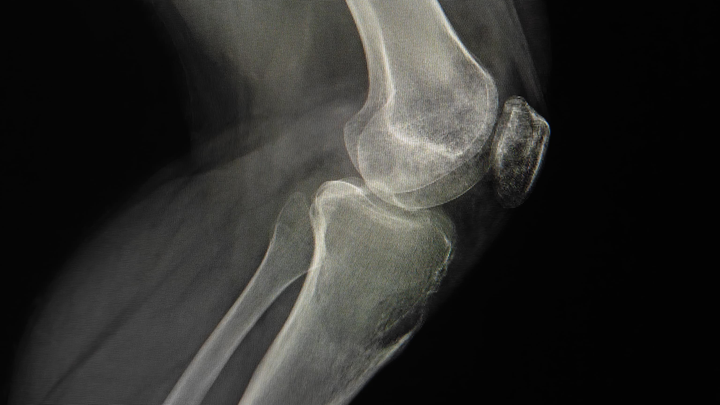
Estoy recaudando fondos para mi novio, quien actualmente tiene un tumor agresivo en la rodilla (tibia). En este momento estamos en espera de los resultados de su biopsia para conocer exactamente el diagnóstico y el tratamiento que seguirá.
Todo ha pasado muy rápido y ha sido muy difícil para nosotros. Desde que comenzó esta situación, nuestra prioridad es una sola:
salvar su rodilla y su calidad de vida.
Él es una persona joven, fuerte y con muchas ganas de salir adelante, pero el proceso médico implica estudios, tratamientos y posiblemente una cirugía que representan un costo muy alto para nosotros.
No es fácil para mí pedir ayuda, pero en este momento lo necesitamos.
Cualquier apoyo, ya sea donando o compartiendo esta campaña, significa muchísimo para nosotros.
Gracias por tomarte el tiempo de leer y por cualquier ayuda que puedas brindar






