- J
- K
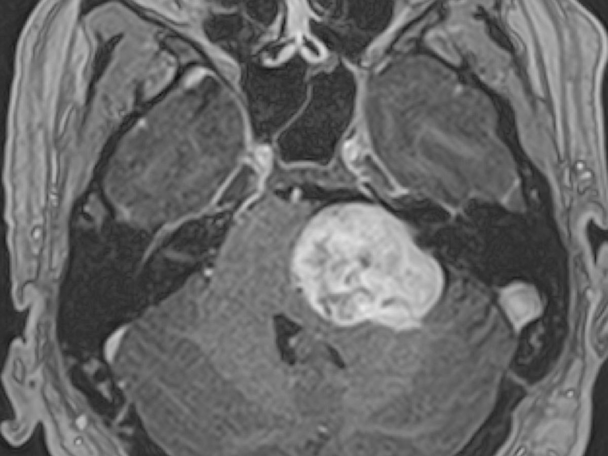
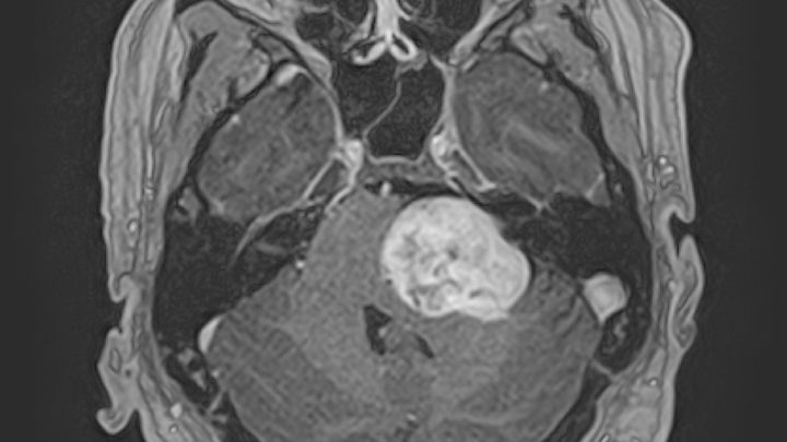
Hi, my name is Amanda and I am here to help raise money on behalf of my boyfriend Travis Segretto. On Wednesday, February 15th, 2023, Travis found out that he has a tumor growing in his brain.
The type of tumor he has is Vestibular Schwannoma which is benign. The size of it is 4x3x3cm
He has done extensive research on this matter including surgeons who specialize in this type of tumor removal. Travis has joined a support group on Facebook which has helped him cope with this news tremendously.
He has sent his MRIs out to a few hospitals around the country and received a call from the best in the country, Dr. Friedman at University of California San Diego. At first Travis was not sure if he would be able to get in with this program because it’s a long wait. Dr. Friedman wants to operate on April 11th.
With that said the both of us will have to take time off of work to travel across country to San Diego. The both of us will stay on campus out there approximately 2 weeks give or take post operative recovery.
Dr. Friedman said to expect to be there at least 10 days. Once Travis is cleared to leave we will have a journey driving back across county home to Florida.
Neither of us truly know what will happen once this tumor will be removed. We do know that Travis will lose his hearing completely in his left ear. Possible facial paralysis for a little while.
This is going to be quite the journey for both of us. Any little bit will help because we do not know truly how much this is going to cost in the end. Funds will be used towards the cost of the surgery, the travel to and from California, our stay out there, food, and bills that will need to be covered while out of work.
We appreciate your donations in advance.
For further information about this type of tumor you can look on this link.

