- A
- N
- P
Hi friends and family,
Well… I’m not pregnant. I know this may come as a shock to absolutely no one, though perhaps a disappointment to scientists everywhere.
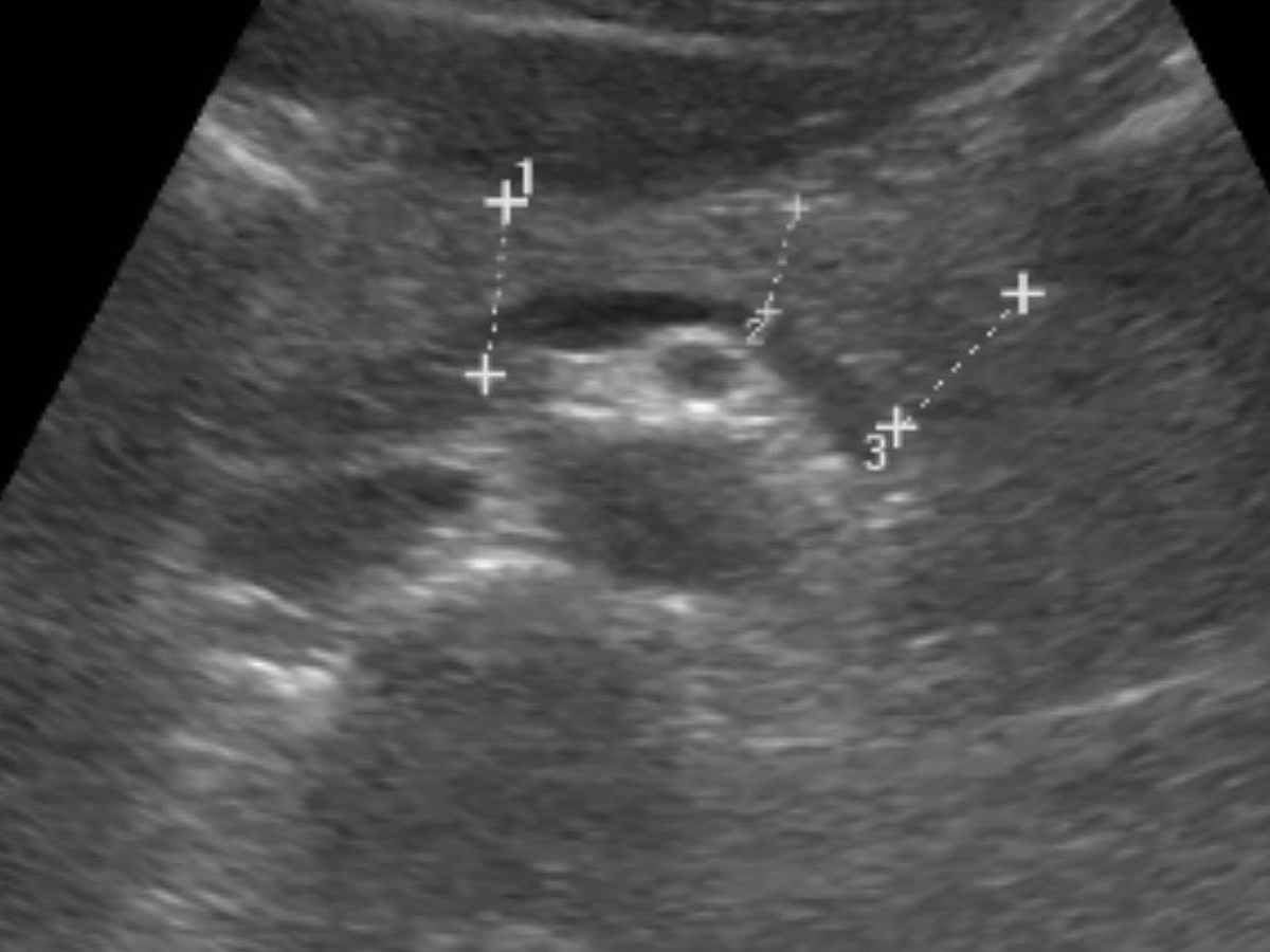
What has been growing, however, is a gallstone in my gallbladder. The gall of it. Literally. It turns out the mysterious abdominal pain I’ve been having on and off for the past six months was not just my digestive system staging a protest. After some tests, the culprit has been identified: a 4 cm gallstone. Apparently my gallbladder decided to start collecting rocks.
The good news is that it’s not cancer or anything like that. The less good news is that the solution is surgery, along with several pre-tests, a couple of nights in the hospital, and about two weeks of recovery afterward.
When the attacks happen, the pain is honestly the most intense I’ve experienced in this lifetime. It’s been debilitating when it strikes. At the same time, I’m very grateful that it’s something relatively straightforward to fix.
Because I’m currently in Mexico, I will likely be paying for the surgery out of pocket, including the hospital stay, anesthesia, tests, and follow-up care. The exact costs can vary depending on what’s needed during the procedure and recovery. For that reason, I’ve set the fundraising goal at a level that would also help cover any unexpected expenses or, if necessary, travel back to the U.S. for follow-up care. My hope is that everything goes smoothly here, but I want to plan responsibly in case something unexpected comes up.
Normally I prefer to power through things myself, but between this unexpected medical adventure and the fact that I’m currently in a job search phase, I find myself in the somewhat uncomfortable position of asking for help.
One thing I’m especially grateful for is having my wonderful fiancé, Gary, by my side through all of this. He’ll be with me in Guadalajara the night of the surgery, which makes a scary situation feel a lot less scary.
If you’re able to contribute, I would be incredibly grateful. And if giving isn’t possible, good thoughts for a smooth surgery and recovery are very welcome too.
I did consider flying back to the U.S. for the procedure, but after consulting with doctors here and weighing the logistics, I feel confident that I’m in good hands and just want to get this taken care of.
Thank you for reading, and for being part of my life.
Even a small contribution truly helps and means more than you know.
Lisa





