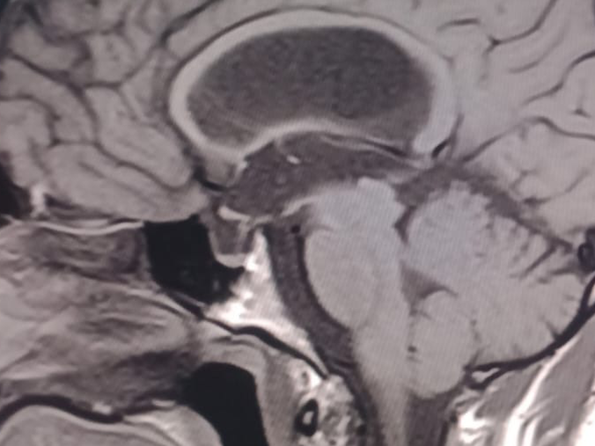
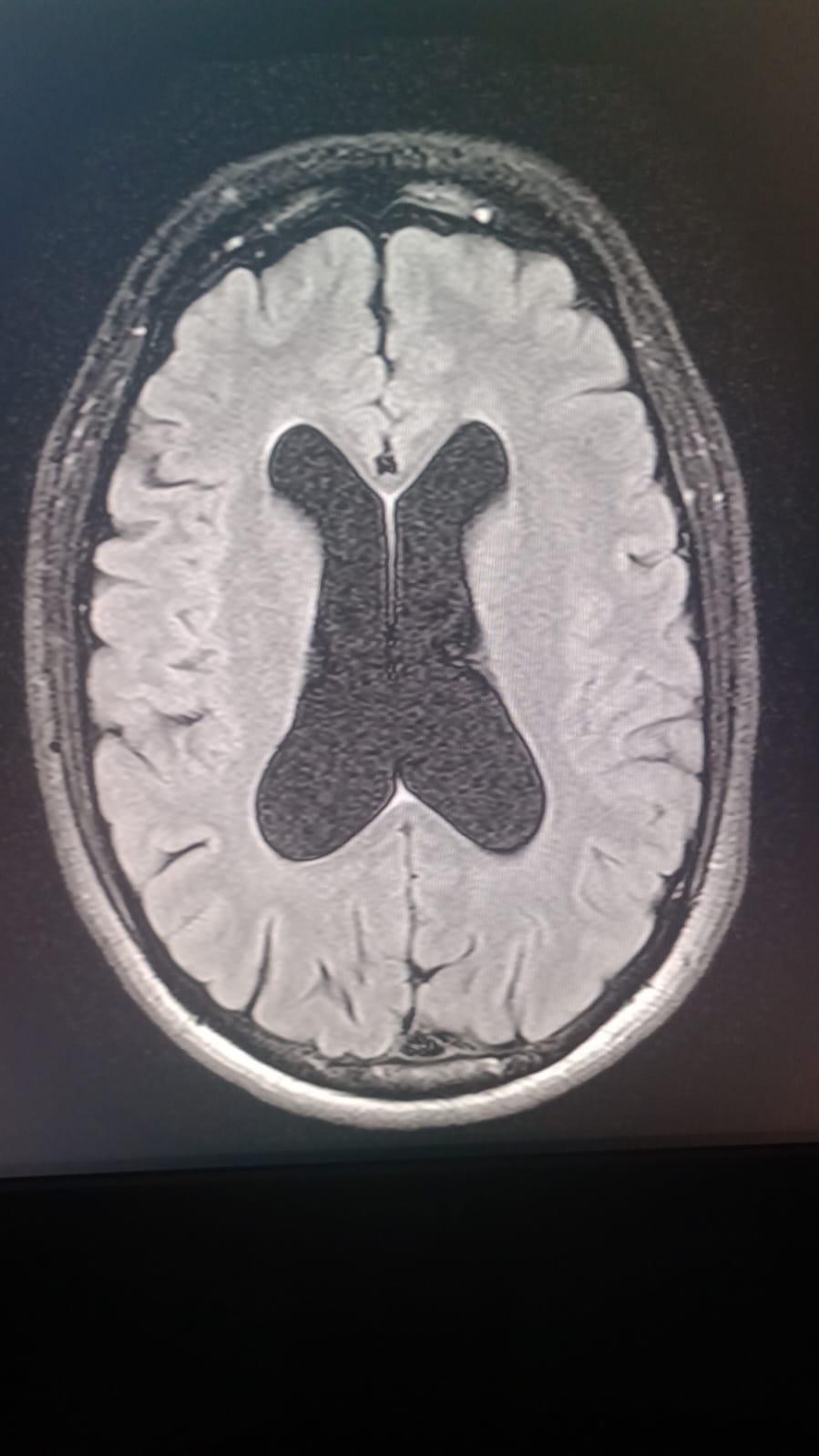
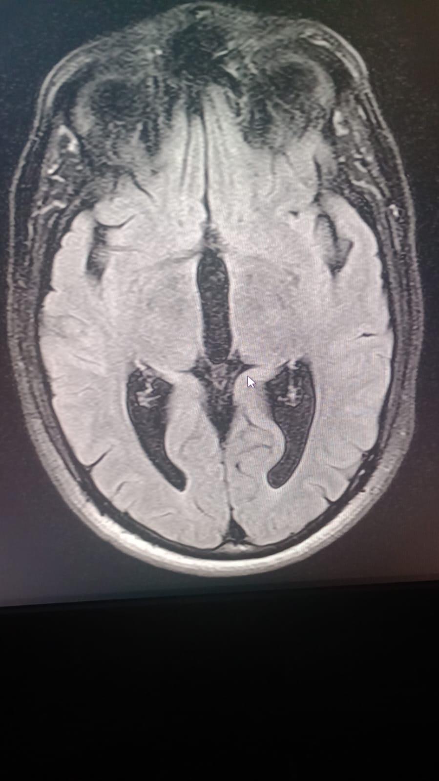
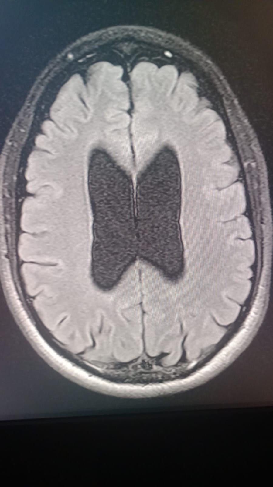
Our dear Cesar Eduardo Rodríguez Ortiz has been fighting seizures since he was just two years old, after suffering a head injury as a baby. Despite years of struggle, his strength and spirit have never faded.
On October 17, 2025, Cesar underwent a major brain surgery to help control his severe epilepsy. By God’s grace, the surgery went well, and he is now beginning his road to recovery.
Cesar still needs ongoing medical care, medication, and therapy as he continues to heal. We’re reaching out to family, friends, and kind hearts everywhere to help ease the financial burden of his treatment.
Every prayer, share, and donation makes a difference.
Thank you for helping Cesar and his family through this difficult but hopeful time.






