Hello Everyone,
My name is Asmaa, I appreciate you taking a few minutes to read my brother's story.
I need your support for my brother who was injured in the Gaza War.
When did it happen!!
On the night of 9th December 2023, my family’s house was catastrophically damaged by an airstrike when the Israeli air forces bombed our Neighbour's house right beside my family's home. My father was killed along with 70 other people including my uncle and some of my relatives. My mother and brother were injured badly, especially my brother, who is suffering so far from very bad injuries. My mother and brother were pulled out from under the rubble after a few hours.
Injuries
My brother's injuries need serious medical attention. At the beginning it took the doctors one month when they viewed him. His injuries are infected because there are no medical supplies to treat his injuries.
The injuries are broken bones in his right leg, a broken nose, cuts, scars, stitches all over his face, a lip injury, and his leg and face were burnt. He had a surgery in January, February, and April. The surgery he did in January was for external fixation to connect the broken bones together.
The First X-ray Of The Two Broken Bones
The External Fixation..
An X-ray Of The External Fixation..
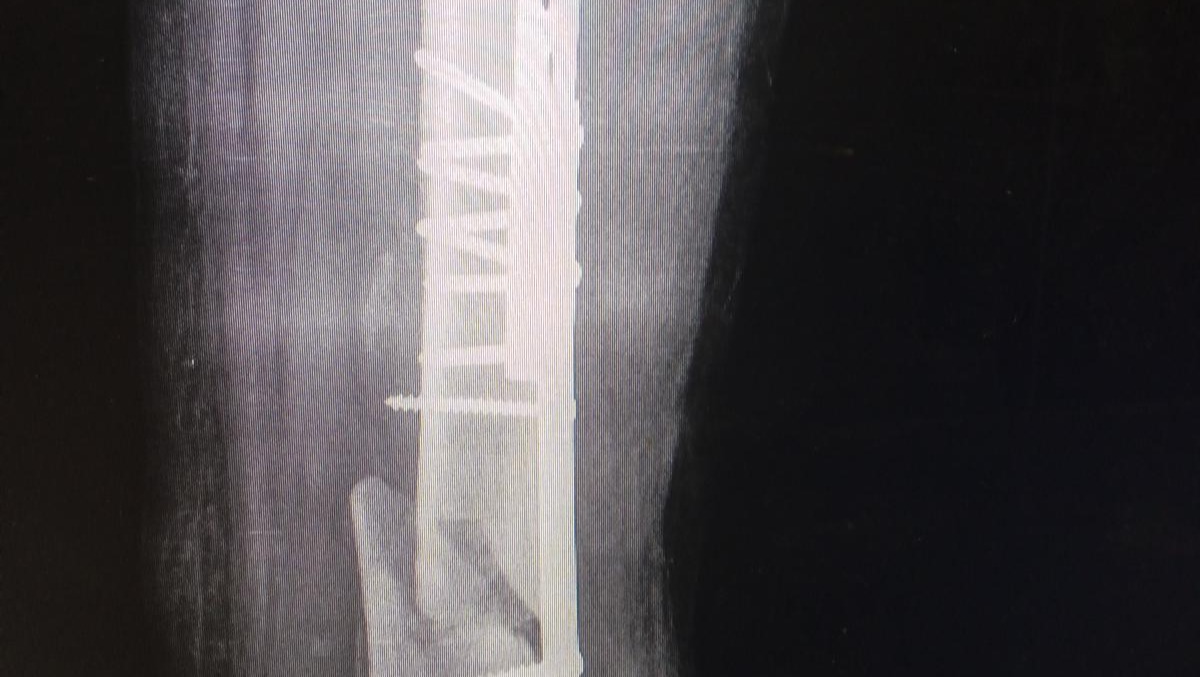
The surgery he did in February was because his leg got infected from the inside. And the last surgery he did in April was for the second broken bone, the doctors had put internal pins in the bone.
The Internal Pins
My mother's injuries were bruises and contusions all over her body, she couldn’t walk or stand at all for two months which affected her in her walking until now.
As soon as the border opens, my brother needs to get out of Gaza as soon as possible to seek medical attention.
He needs to redo his platen because the surgery wasn't successful, as there is a lack of medical capabilities and supplies.
I would deeply appreciate any small donation, it will truly help my brother with his surgeries, so he could get better, be safe and walk normally. Currently, he is walking on crutches.
The cost of leaving the border to Egypt costs around 5,000 dollars per adult. So, it will add up around 10,000 dollars altogether.
Cost Of Surgeries
The leg surgery costs
The cost of internal plate surgery for the leg can be vary based on several factors including the complexity of the surgery, on average, the cost of such surgery can range €12,000. This range includes various components such as the surgeon's fees, hospital stay, anesthesia, and post-operative care.
The Broken Nose Rhinoplasty Surgery Costs
On average, the cost range is €4,500
Flights tickets
The tickets from Egypt to Dublin cost around €4000 less or more for both. .
"Note that the cost of the tickets will include provisions for medical aid requirements."
Total Cost
In total we need to gather 30,500 to help him get out from Gaza when the border is open to received the treatment.
With many thanks and gratitude
Asma

