- K
- W
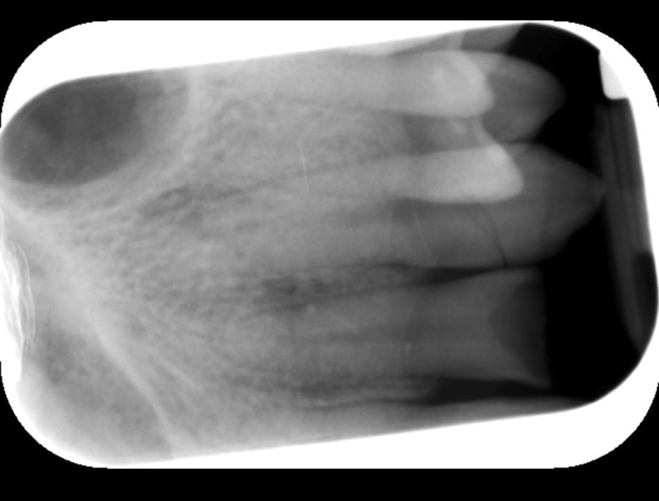
On Monday night, during an Under-23s cup final, our first team player Kaiden went up for a routine header - something he’s done hundreds of times. But in the first 10 minutes of the match, he clashed heads with another player, and the impact left him with serious and unexpected injuries which require immediate attention
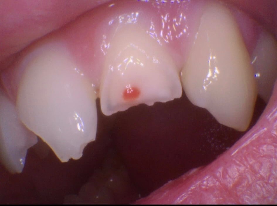
Kaiden suffered a bruised cheekbone, a black eye, concussion and extensive trauma to his teeth.
Altogether, he has six broken teeth.
Kaiden needs:
5 root canals
5 dental caps
1 tooth implant
Specialist surgery, as one tooth has shattered in several places inside the jaw and cannot be removed without a surgical procedure
The implant alone costs £3,000 and will not be funded by the NHS, this amount doesn’t include the significant work needed on the other five teeth.
Because of the exposed nerves, Kaiden is at high risk of infection and has already started a course of anti-biotics as precaution, the risk of infection gets higher the longer the nerves are exposed.
In the last 24 hours, Kaiden has seen three different dentists. All of them have said this is an extremely severe case of trauma. One dentist, with 20 years of experience, said she had never seen injuries like this from football—only from major accidents.
Kaiden is in constant, intense pain, and the sooner treatment can begin, the better his chances of avoiding long-term complications.
We are asking for help to cover the dental costs as it will not all be funded by the NHS and so that Kaiden can be pain-free, recover properly, and get his teeth back to normal.
Any support—no matter how small—would mean the world to him and his family
He would like to thank his team mates and management at the club for checking in on him over the last 24 hours, its very kind of everyone.
Thank you so much for taking the time to read this and for your kindness and support.
Organizer and beneficiary
Lucy Hummerston
Beneficiary






