- Y
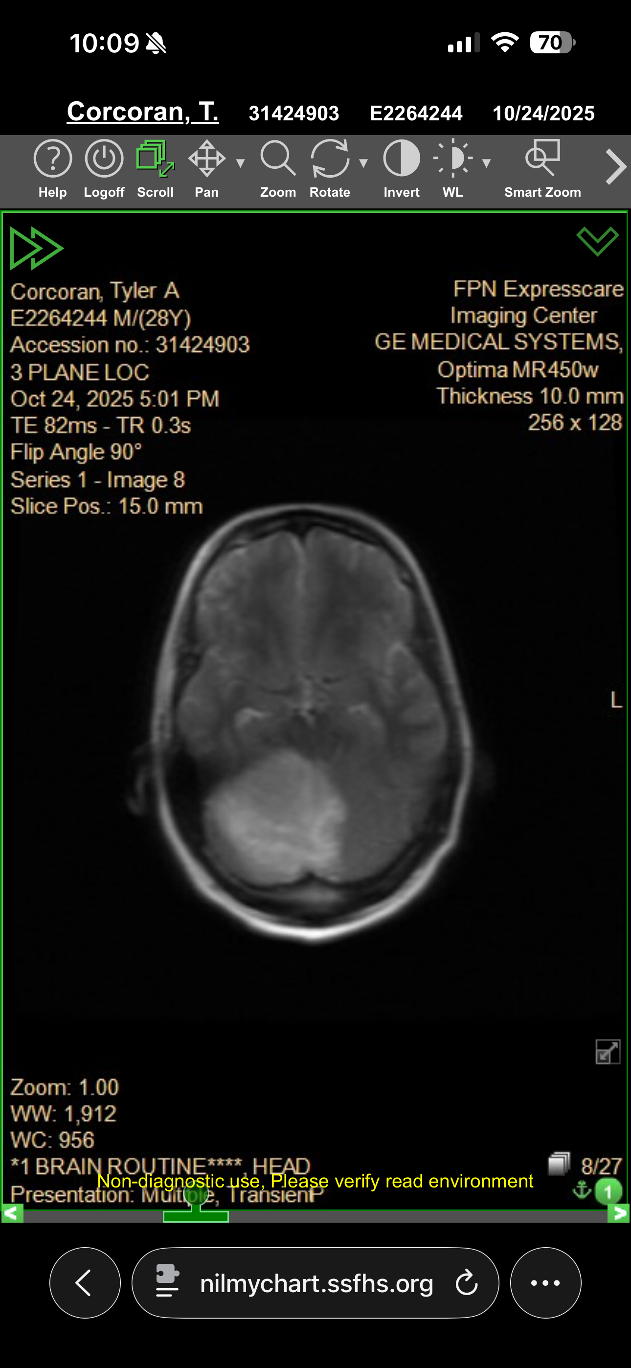
Hello, my name is Lauren. The man in the photos is my wonderful husband Tyler. In March of 2024, he discovered that he had a brain tumor in his cerebellum, leading to a decline in his motor skills, including his balance and ability to walk. Over time his symptoms have continued to worsen, the tumor has grown, and he has become a shell of the man I once knew. At the beginning of November 2025, it all came to a head when we had to rush him to the emergency room for life threatening symptoms which led to him having brain surgery on November 7th. The road to recovery is a long one, and we are just at the start. He is an amazing man and a devoted father to our 2 year old daughter. With this serious of a condition, he is unable to work and I have had to reduce my hours working to help him at home. Any help to keep us afloat through all of the medical expenses and living expenses during this difficult time is greatly appreciated. Thank you for taking the time to read Tyler’s story.



