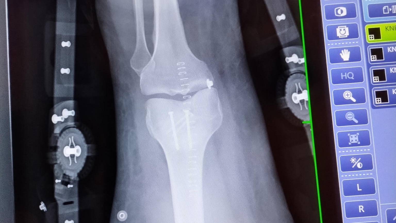
My name is Tim. I recently fell from a ladder and broke my patella (kneecap).
I have already had knee repair surgery, in which I got 4 screws to hold it together and 23 staples to seal the surgical site. I am on the long road to recovery. Due to this injury, I am not currently allowed to work. With winter coming I am in need of assistance with covering my monthly costs while I recover. Over the next several months, I will need to learn to walk again.
I am struggling to get my bills covered. Donations received will be used for rent/utilities, transportation costs, food, medical costs, or other emergent costs related to regular everyday living. All assistance will also relieve some of the stress and anxiety that comes with this unforseen situation.







Organizer

Timothy Winchell
Organizer
Stanwood, WA