Support Steve Crossmon's Battle with Brain Cancer

  • J
  • J
  • M
147 donors
0% complete

$22,400 raised of $100K

Support Steve Crossmon's Battle with Brain Cancer

Donation protected


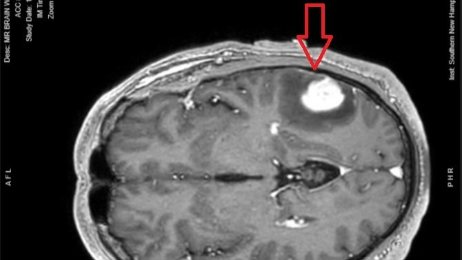
I’m establishing this GoFundMe on behalf of my brother Steve Crossmon who is battling stage 4 brain cancer (specifically “Glioblastoma” aka “GBM”).

On May 13, 2024 Steve was in an online meeting with co-workers when he suddenly found himself unable to spell basic words. He thought he was simply overtired but the symptoms persisted into the following day so he went to the emergency room. After a battery of tests, they eventually discovered a mass on his brain which was putting pressure on the part of the brain utilized for spelling and word recall. From there, everything was a whirlwind. He quickly scheduled brain surgery for May 22 at Massachusetts General Hospital. The tumor was removed and his word recall issues were resolved, but pathology tests revealed a diagnosis of Glioblastoma (aka “GBM”) which is the most aggressive form of brain cancer.

Over the Summer, Steve received radiation and chemotherapy to attack hidden cancer cells in the area where the tumor was removed. In August he had a break from treatments, and then in September he started another chemo cycle that will continue into early 2025. He is also seeing a naturopathic doctor who has prescribed daily supplements and a strict cancer-fighting diet geared towards strengthening his immune system. Steve is exercising regularly, pursuing clinical trials, and doing everything possible to fight this.

Unfortunately, with GBM, it is inevitable that tumor growth will eventually return and be more resistant to treatments. Bi-monthly MRI’s will be required for the rest of Steve’s life to monitor for any new tumor growth. Some people call it “scanxiety” because it’s impossible to predict when the tumor will return. The average lifespan for a GBM patient is only 14 months, but Steve is pursuing every possible avenue to beat the odds. He’s had some emotional days, but for the most he’s remained remarkably positive and focused.

Steve is now on permanent long-term disability which has significantly reduced his income. Your donations will help cover medical expenses, travel costs, and long-term support for his kids Owen and Camryn.

Periodic updates will be provided here so you can follow his cancer journey. Thank You for your prayers and support!.

-Bill Crossmon



Organizer

Stephen Crossmon
Organizer
Nashua, NH
  • Medical
  • Donation protected

Your easy, powerful, and trusted home for help

  • Easy

    Donate quickly and easily

  • Powerful

    Send help right to the people and causes you care about

  • Trusted

    Your donation is protected by the GoFundMe Giving Guarantee