- G
- V
- C
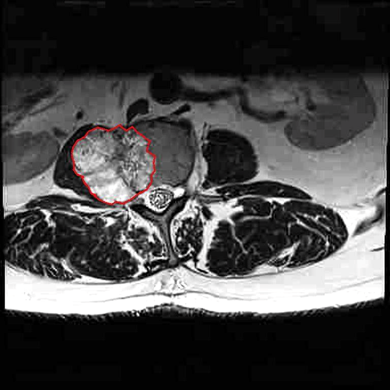
My friends. It seems that life is kicking my ass. I have a malignant (chordoma) tumor on my L2 vertebra. It's big and ugly and it is causing so much pain that I can no longer walk. I can't stand longer than a few seconds, maybe a minute, before I have to sit down.
This is a very rare cancer and there aren't any curative therapies. It is slow growing so - hopefully - after removal and post-operative recovery I can live a few years in peace. My workplace is giving me FMLA for the recovery period, but as many of you know, FMLA is UNPAID after your sick time and vacation pay are spent.
I hope that you can help me once again.
Facebook friends and Gofundme helped me pay for my dentures a few years ago, and I hope you can rally for me again at this critical time. I just really need the stop-gap funds to keep my house and car during my period of recovery. Then I'll be back to work and supporting myself.
This is my back now. 09/19/2025. It is open to drain because it became infected. I usually keep a positive-pressure wound vacuum and dressing on it.



