Hi everyone,
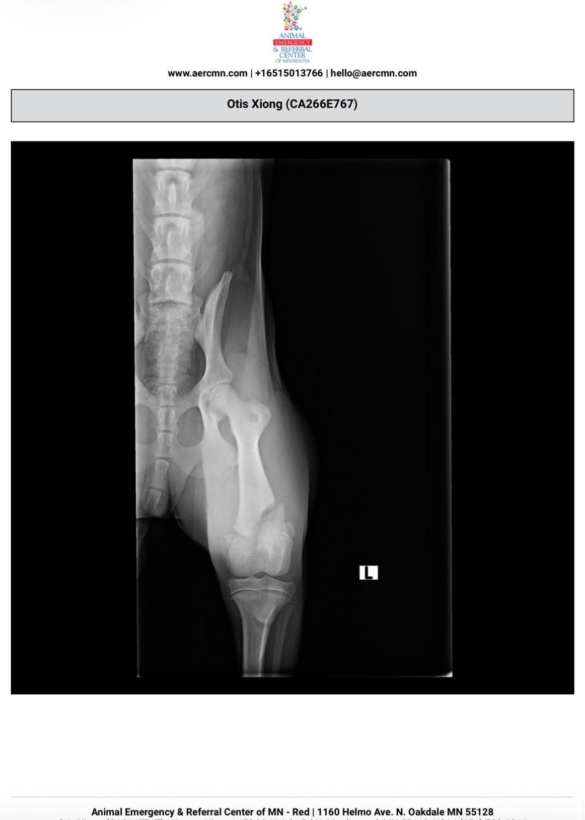
My name is Chiashee. This is really hard for me to share and to ask but our 5 month old puppy Otis recently fractured his left femur after a serious fall. Seeing him not being able to be the same playful, silly and cuddly puppy has been really difficult for my husband and I.
Otis is our baby. If you’ve met Otis, he is loving, chill, and truly a good puppy, we just want him to be okay again. The vet said he needs surgery to heal properly and avoid long term damage. Without surgery, the only other option would be amputation of his left leg.
The cost is more than we can manage on our own right now, and we’re doing everything we can to get him the care he needs as soon as possible.
If you’re able to give, even a little, it would mean so much to us. And if not, sharing this story would be a great help too.
Thank you for your support and prayers for our sweet boy Otis. And thank you for helping us make it through this.
Sincerely,
Bryan & Chiashee
Venmo: ChiasheeV
PayPal: cvu3






