- A

Hi, I’m Cassidy — and this GoFundMe is for my cat, Miss Gorda.
I adopted Miss Gorda from a shelter a few years ago after she had been surrendered twice. She came to me severely overweight, depressed and scared. But I promised myself I would be her forever home. Since then, everything I do for her is about giving her the best life and keeping her healthy - from improving her nutrition to getting her to a normal weight and making sure she’s always cared for properly.
Over the last week, things suddenly took a scary turn.
Gorda started having serious urinary issues. She was straining to pee for hours, crying, and eventually began passing blood clots. After multiple late night vet visits and testing, we learned she has a painful E. coli urinary tract infection that caused internal bleeding. She’s now on antibiotics and slowly stabilizing, but watching her go through that was terrifying.
While running diagnostics for the infection, the vets also found two larger issues that I wasn’t prepared for.
Gorda was diagnosed with extremely high T4 levels, diagnosing her with hyperthyroidism. Which now means lifelong management with medication and regular bloodwork. The lifelong medication helps manage the disease, but it does not cure it. The only permanent treatment is a one time radioactive iodine treatment, which is expensive (around $2k), but it would completely eliminate the condition if I’m able to afford it.
They also discovered a mammary tumor. In cats, these tumors are often aggressive, and the only way to know whether it’s cancer is through surgery and pathology testing. She will need part of her mammary chain removed, followed by biopsy to determine what we are dealing with. Surgery alone is estimated to cost $3,000–$4,500 without complications.
Because she also has hyperthyroidism, we have to stabilize her thyroid levels before surgery can safely happen — so this is not one single cost, but an ongoing process with additional tests, visits, and medication.
I want to be transparent: I don’t have pet insurance. I was laid off in September and Gorda and I moved to a new city shortly after. We’re currently living off my savings. The last few months have been full of new challenges, and I would never ask for help like this unless it felt necessary to give her the care she truly deserves.
Funds raised will go toward:
• Mammary tumor surgery and pathology
• Treatment and follow-up for her urinary infection
• Thyroid medication and bloodwork
• Possible radioactive iodine treatment if enough is raised
• Post-surgery recovery and ongoing care
• Transportation to appointments
If you’re able to donate, thank you more than I can put into words. If you can’t, sharing this helps just as much. I’m incredibly grateful to anyone who reads this and supports us in any way.
Gorda means everything to me, and I just want to give her the chance to live a long, comfortable life.
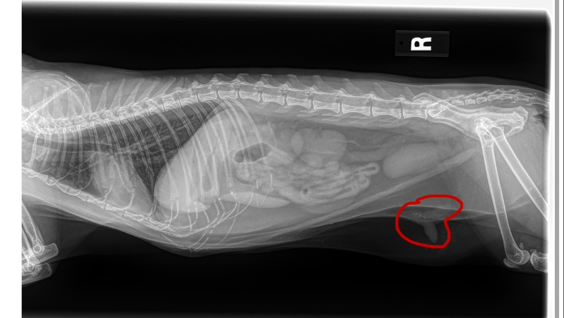
Below is an image of her x-ray, showing the tumor on her belly. Thank you for being here

