Support Mason's Brain Surgery and Recovery

Mason, 13, faces urgent brain surgery; funds will cover surgery, travel, and bills

  • J
  • S
  • C
44 donors
0% complete

$5,892 raised of $10K

Support Mason's Brain Surgery and Recovery

Donation protected
We need help during this critical time.

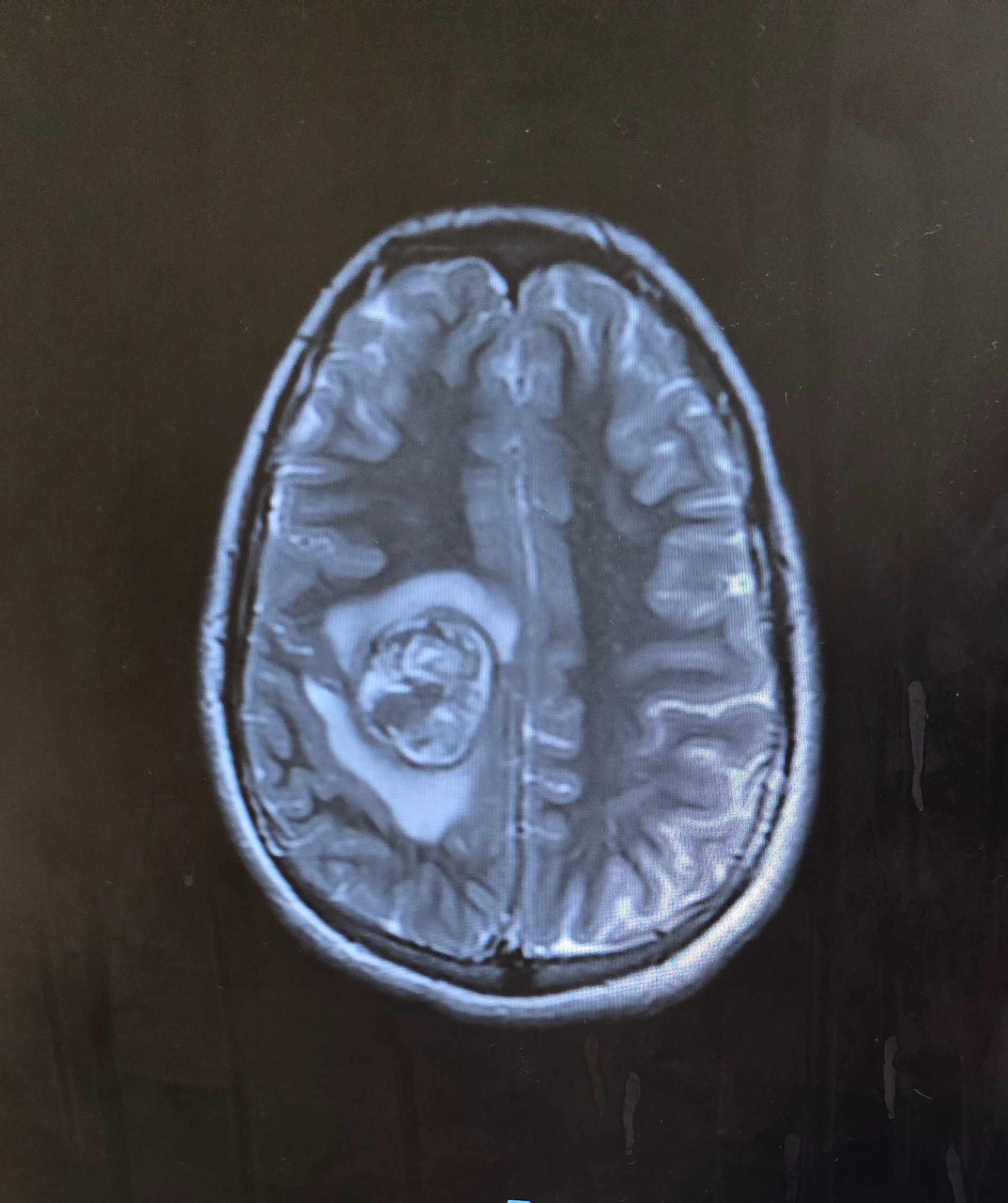
Our world has been turned upside down. Our 13-year-old son, Mason, has recently been diagnosed with a very large 4.3 cm mass in his brain with significant swelling that has hemorrhaged and is now facing brain surgery on January 7th.
No child should ever have to endure something like this, and no parent should have to watch their child go through this. Within a week's time span, Mason lost all movement and control of the left side of his body. He was rushed to multiple doctors before finally getting some answers. He has a Cavernoma. It is an abnormal cluster of blood vessels with slow-flowing blood. This is what causes the neurological symptoms he is having.
Because of Mason's condition, he cannot be left alone. My husband, Stephen, has already been out of work unpaid for nearly 2 weeks so he can stay by Mason's side and will continue to be out of work for an unknown length of time as we navigate surgery, recovery, and ongoing medical care.
As you can imagine, the emotional toll is overwhelming and the financial strain is growing heavier by the day. Medical expenses, daily bills, lost income, travel, and necessities are becoming increasingly difficult to manage during a time when our only focus should be Mason's health and healing.
We are asking for help and support so we don't have to face this alone. Any donation, big or small, will help ease the burden and allow us to remain where we are needed most: with Mason.
If you are unable to donate, please consider sharing this post and keeping Mason and us in your thoughts and prayers. Your kindness, generosity, and support mean more than words can express.
Thank you from the bottom of our hearts.



Organizer

Christina Hayslip
Organizer
Bradenton, FL
  • Medical
  • Donation protected

Your easy, powerful, and trusted home for help

  • Easy

    Donate quickly and easily

  • Powerful

    Send help right to the people and causes you care about

  • Trusted

    Your donation is protected by the GoFundMe Giving Guarantee