- R
Hello friends, family, and kind strangers,
My name is Joey Baxter, and I'm reaching out for help during the hardest time in our lives. In December 2023, my incredible wife, Amanda, was diagnosed with stage 4 breast cancer and she has been fighting it privately the last couple of years. She's always been a fighter, strong, dedicated, and is the heart of our family. Despite the diagnosis, she powered through 6 rounds of aggressive chemotherapy, surgery, 15 rounds of radiation therapy, a second line of a chemo regimen, and targeted therapy, all while continuing to work full time. She only took about two weeks off after her surgery and scattered days for appointments and recovery from treatments.
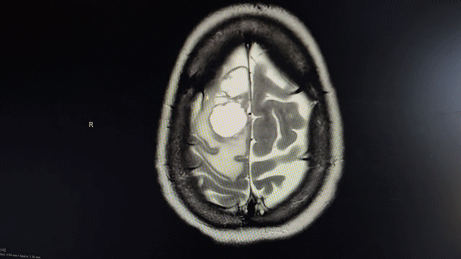
Just as we thought it was under control and hoping she was in the clear, she started having headaches that turned into severe brain fog and clumsiness. She was scheduled for a brain MRI, but before it could happen, she suffered a seizure on Halloween morning 2025 and was rushed to the emergency room. The devastating news: the cancer had metastasized to her brain. She underwent successful brain surgery on November 3, 2025, to remove the two tumors, but the damage from the tumors, swelling, seizure, and surgery has left her in a compromised state. She now has very limited mobility on her left side and we are still learning the full extent of the cognitive impact.
With daily physical, occupational and speech therapy, she's shown encouraging progress (she is regaining her independence every day), but her left side motor functions remain limited.
She has been reluctant to let me share her story, even for fundraising purposes, but the road ahead is long and uncertain. We're not sure when she'll be able to return to work (one of her main goals), and she'll need ongoing support from me, our daughter, and our family for daily care, therapy sessions, and more. Medical expenses and bills are piling up, and with her unable to work, we're facing financial strain on top of the emotional toll.
Any donation, no matter the size, will go directly toward medical expenses, bills, rehabilitation therapy, home modifications for accessibility, lost income, and supporting our family through this. If you can't donate, please share this far and wide, your shares could reach someone who can help. And above all, keep Amanda and our family in your thoughts and prayers. We're grateful for every bit of kindness during this ongoing fight she is facing.
Thank you from the bottom of our hearts,
The Baxter Family
Proverbs 3:5-6 “Trust in the LORD with all your heart and lean not on your own understanding; in all your ways submit to him, and he will make your paths straight.”
Romans 8:28
“And we know that in all things God works for the good of those who love him, who have been called according to his purpose.”



