Hi, my name is Lyz Cox.
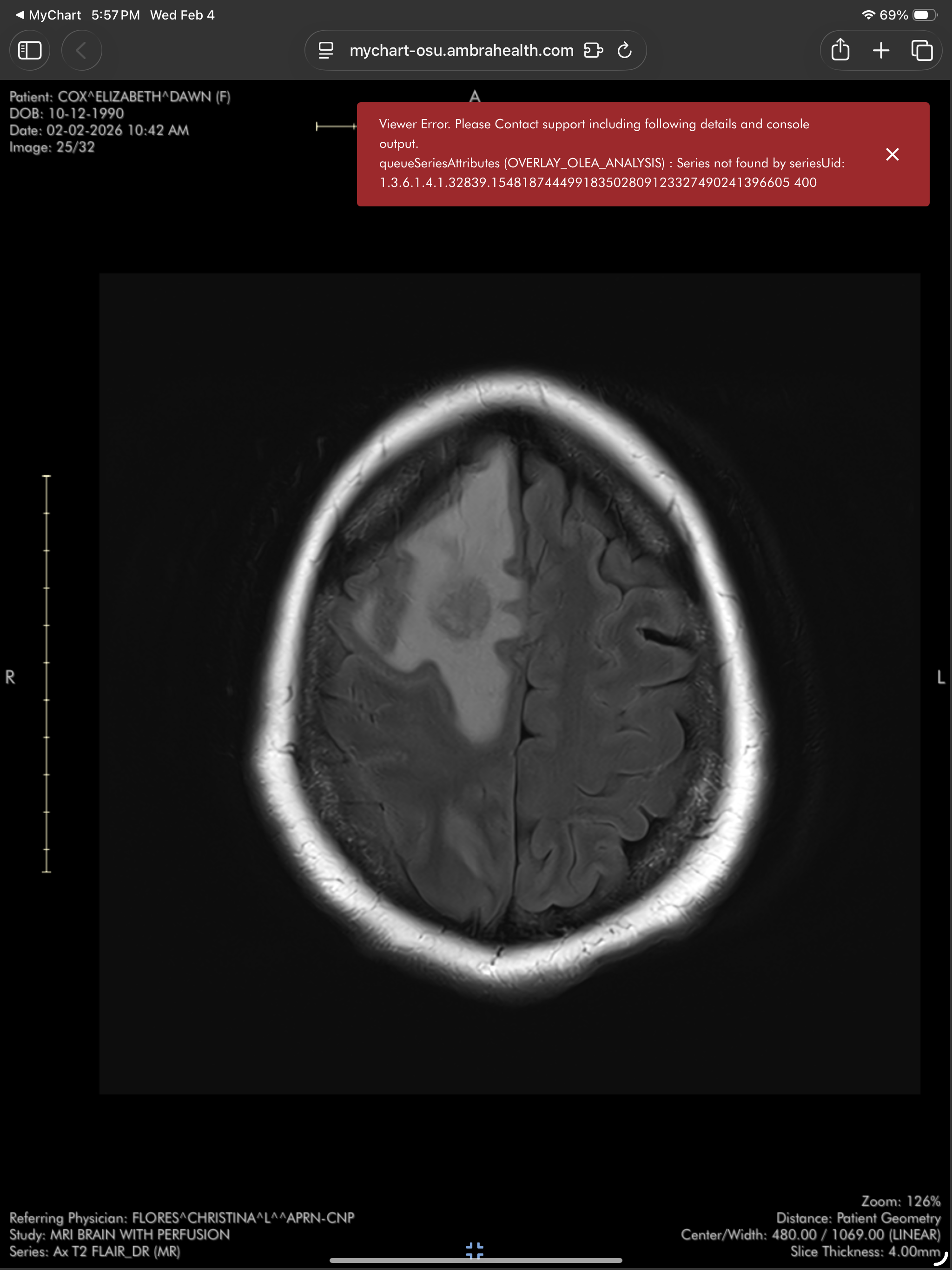
I never imagined I would be writing something like this, but life has taken an unexpected and overwhelming turn. I am currently fighting Stage 4 cancer, and on February 17th, I will be undergoing brain surgery as part of this battle.
Over the past months, my life has been filled with doctor appointments, treatments, hospital stays, and difficult conversations. While I am doing everything I can to stay strong and focused on healing, the financial burden that comes with cancer treatment has become more than I can manage alone.
Between mounting medical bills, ongoing treatments, medications, and the costs of surgery, the expenses are overwhelming. At the same time, I am struggling to keep up with personal housing costs and everyday living expenses while my ability to work has been deeply impacted by my diagnosis and treatments.
Asking for help is not easy for me. But right now, my focus needs to be on surviving, healing, and preparing for brain surgery — not worrying about whether I can pay my bills or keep a roof over my head.
If you feel led to donate, no amount is too small. Every contribution will go directly toward:
• Medical bills and surgery expenses
• Ongoing cancer treatments and medications
• Housing and essential living expenses during recovery
If you’re unable to donate, sharing this fundraiser with others would mean the world to me.
Thank you for taking the time to read my story, for your prayers, your love, and your support during the hardest fight of my life. I am holding onto hope, faith, and the strength of this community as I face what’s ahead.
With gratitude,
Lyz Cox






