Support Kolton’s Medical Journey

Kolton’s fund eases brain tumor treatment costs, covering procedures, travel, and essentials

  • D
  • D
  • S
9 donors
0% complete

$725 raised of 

Support Kolton’s Medical Journey

Donation protected
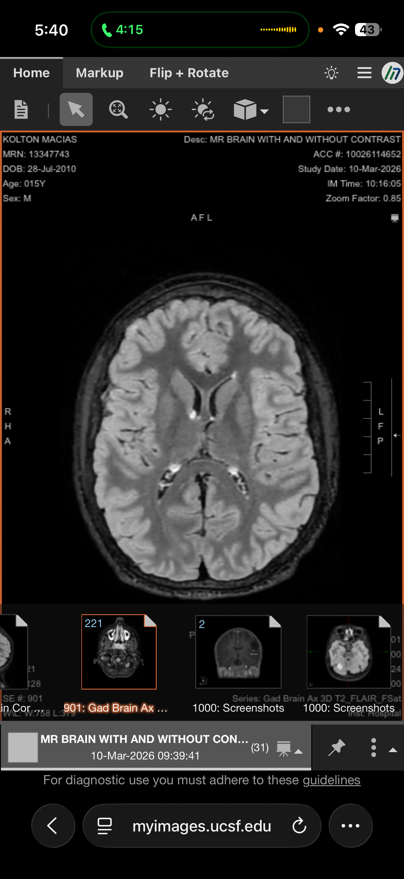
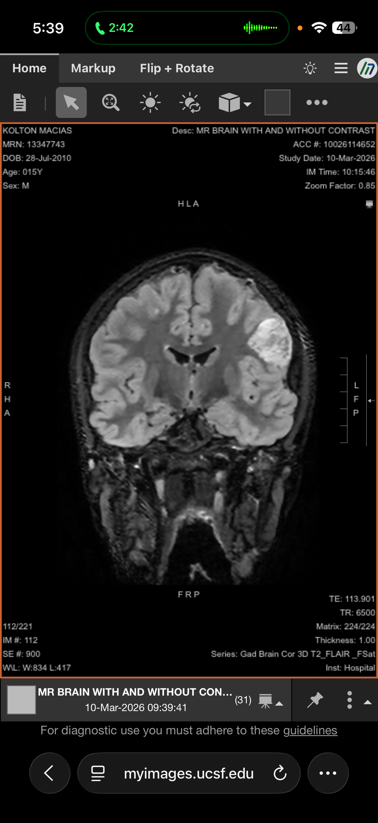
Our hearts are heavy as we share that Kolton has recently been diagnosed with multiple brain tumors. After urgent evaluations, doctors discovered four tumors, including one located in the cerebellum. At this time, Kolton’s medical team is moving forward with a biopsy and laser ablation procedure to treat one of the tumors. The remaining tumors are expected to be managed with oral medications and ongoing treatment. This journey will require frequent monitoring, including MRIs every 3 months, and close follow-up with specialists.

As you can imagine, this diagnosis has turned life upside down for Kolton and his loved ones. Between medical appointments, treatments, travel, and time away from work, the financial burden is quickly adding up. The emotional toll is just as heavy, and right now the focus needs to be on his care, healing, and staying strong through what lies ahead.

We are asking for support to help cover medical expenses and procedures, travel costs for ongoing care and MRIs, time away from work, and daily living expenses during treatment and recovery. Any donation, no matter the size, will make a meaningful difference. If you’re unable to give, sharing this page and keeping Kolton in your thoughts and prayers means just as much. Thank you for your love, support, and compassion during this incredibly difficult time.

Organizer

Jill Macias
Organizer
Anderson, CA
  • Medical
  • Donation protected

Your easy, powerful, and trusted home for help

  • Easy

    Donate quickly and easily

  • Powerful

    Send help right to the people and causes you care about

  • Trusted

    Your donation is protected by the GoFundMe Giving Guarantee