- K
- C
Koledyn was diagnosed with adolescent idiopathic scoliosis, double curvature, known as the (“S”) curved spine in November of 2022.
Scoliosis is a spinal deformity that causes an abnormal side-to-side curve in the spine..
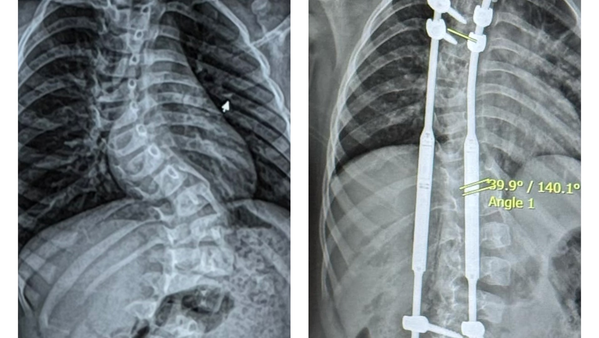
Since, Koledyn has been seen at Essentia Health in Duluth, by Dr.Kathryn Huff and several other pediatric othoropedic specialists. Koledyns spine at this time had a 67 degree curve and a 43 degree curve.
Koledyn has had countless X-rays, an MRI to rule out cancer in his spine, and doctor visits every 3 months since the initial diagnosis in 2022.
Dr. Huff decided it was best for Koledyn to start his scoliosis journey with bracing. Over the last 3 years Koledyn has had two different Boston thoracic body braces, that are meticulously designed, specifically to his body and curvature.
It works by applying pressure to the spine, with hopes of maintaining and or correcting the curve, unfortunately it hasn’t helped enough, resulting in Koledyn needing spinal surgery to avoid risk of deformity, pain and damage to his organs.
Koledyn will be having MAGEC ( MAGnetic Expansion Control System) rod surgery March 14,2025. The MAGEC system, which includes implantable rods and an external remote control, are used to brace the spine while the child is still growing to minimize the progression of scoliosis.
This go fund me will help with medical costs associated with the surgery and travel.

