- A
- Z
Hello, my name is Aaron and I am a Registered Veterinary Technician trying to raise funds for my dog, Koa, to surgically remove masses in his lungs and on his liver.
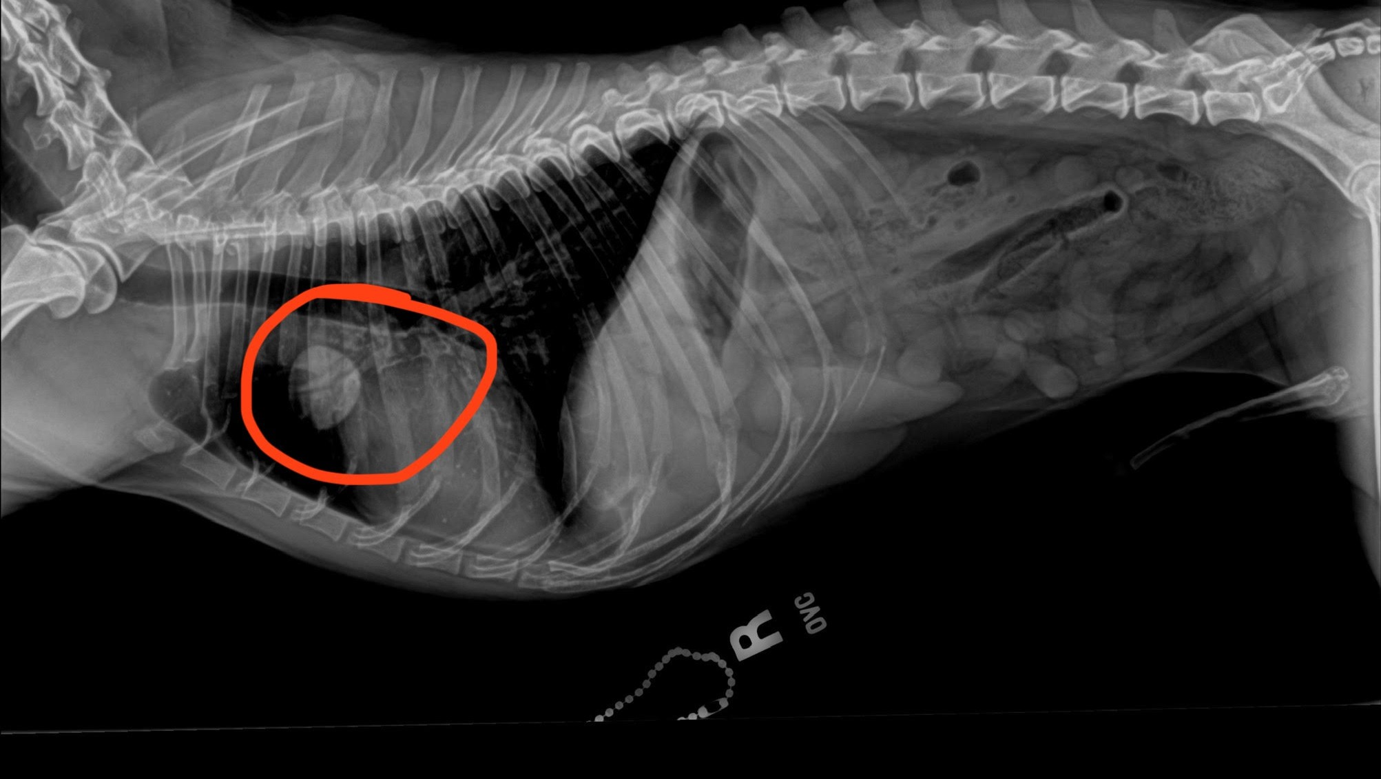
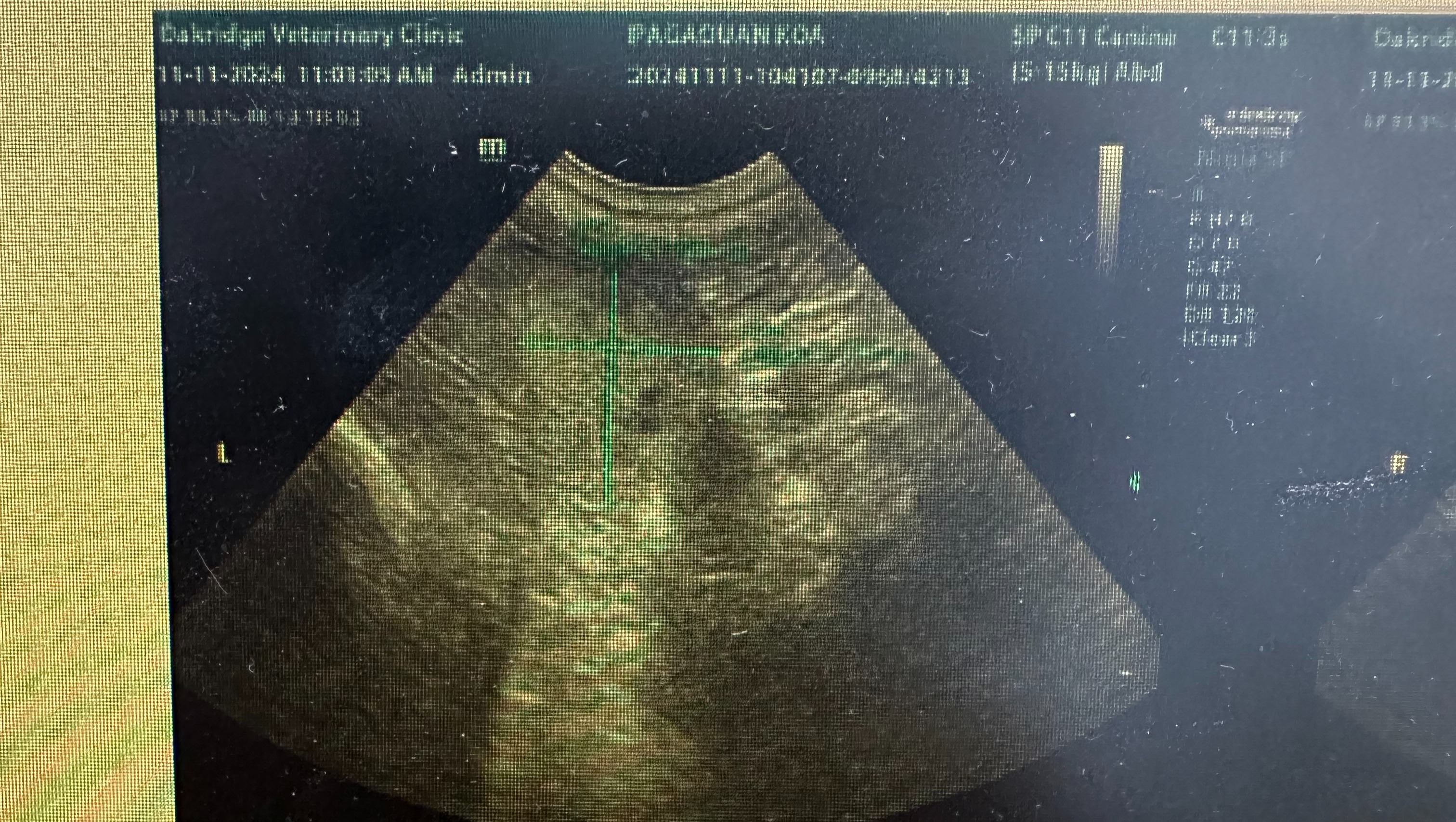
On November 11, 2024, Koa was brought into the clinic for a routine dental under anesthesia. Part of his senior screening included taking x-rays of his chest and abdomen. This is where we first saw the mass in his lungs. His dental was canceled and we performed an abdominal ultrasound which also found a small mass on his liver, and we were suspicious of the findings on his spleen. We were referred to a specialist for a CT scan to determine the next best steps. Our initial worry was that this was a cancer that had spread and made its way from the lungs to the liver and beyond.
However, the scan found that they are two separate masses (which is a better scenario, although, not ideal). The scan also found potential evidence that the mass from the right lung lobe had spread to his left lung lobe, but it could not definitively be determined.
I was given the option to operate on all 4 sites, but my concern was Koa's age (11 years) and how invasive the surgery would be. They would have to open both sides of his chest to take part of his right and left lung lobes, close him up, apply a chest tube, and then open his abdomen to remove the liver mass and spleen. My concern with this route, although doable, would be his quality of recovery. He would need to spend more days being hospitalized overnight and that kind of surgery could be rough for a geriatric small dog (despite reassurance from the surgeon). He also has never been cared for or handled by anyone besides me - let alone for two nights straight. I was concerned that he would give the nurses trouble when trying to attend to him during his stay there because he can get a little nippy when he is fearful. He also doesn't typically eat at the hospital without my presence, encouragement, and praise.
After consulting with several other veterinarians, I've decided to move forward with operating only on his right lung mass and his liver mass - the definitive cancers. There is a possibility that he may need to return to remove the left lung mass, but I am choosing to monitor the potential growth and spread over the next few months with x-rays, especially since the findings of the CT scan were not entirely definitive. If the left lung findings do begin to spread, I was informed that surgery may not be an option, and chemotherapy would be the alternative treatment.
Regarding his spleen, the CT scan noted "age-related changes", but due to his other findings, they did not want to rule out the possibility of cancer in his spleen as well. I am choosing to monitor this site with abdominal ultrasounds every few months.
I have already spent $4,000 out-of-pocket to complete Koa's CT scan and I am kindly asking for your support to help me raise funds to complete Koa's upcoming surgery and follow-up care.
For the surgery, we were quoted a low end of $10,000 and a high end of $15,000. Any amount, no matter how big or small, would be greatly appreciated. Thank you for helping me provide care to my best friend and attempt to keep him with me a little longer. I hope one day I can return the favor to you all.
Attached, you will find images of the lung mass from the x-rays circled in red. You will also find the image from the abdominal ultrasound confirming the presence of the mass on his liver marked by green lines indicating approximate measurements.

