- J
- T
- T
My name is Josh Allen, best friend to one of the most amazingly unique individuals I know, Ms. KCB. Kc and I have been best friends for over 21 years. Kc is the godmother of my two beautiful children, an amazing mother of three, and one of the most selfless and genuine individuals that you would ever meet in life! Charisma (Kc’s other best friend/co-organizer) and I watched Kc champion through the death of her beloved husband of 17 years in September 2024, heal from Right Artery Replacement Surgery with Cadaver Artery in December 2024, and now live with the diagnosis of Pituitary Macroadenoma-Functioning, which metastasized to her left front temporal lobe, all within a 1-year timespan.
So why am I writing this? Kc needs our help!!!! Charisma and I are very appreciative of any help that you can provide in supporting Kc during this difficult time.
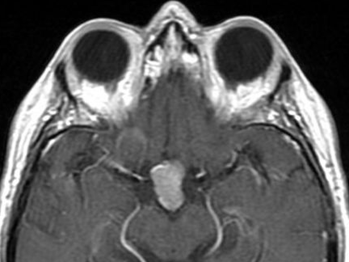
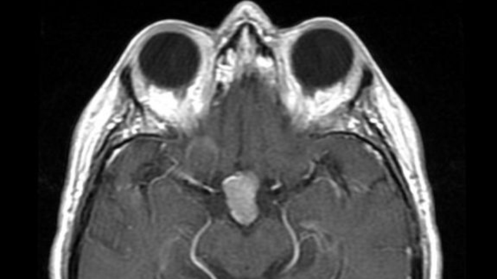
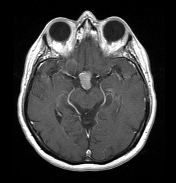
KC is currently undergoing Radiation Therapy three times a week to shrink her growing brain tumors. In April 2025, we found out that the tumor on Kc’s pituitary gland had grown from 2.3 cm to 10.5 cm. Due to her tumor being larger than 2.0 cm, Kc is ineligible to receive a Transnasal Transsphenoidal Surgery (less invasive surgery that removes brain tumors via the nose versus removal directly through the cranium). Kc silently continues to struggle mentally, physically, and financially, always placing others and their needs and wants above her own. Medication management and Radiation Therapy to shrink her tumors were recommended as the best modality of treatment. Unfortunately, Kc is not responding to treatment as doctors had hoped. Kc will need to undergo brain surgery once Radiation Treatment ends (last Radiation Treatment date: September 5, 2025) to remove the tumors from her brain.
Unfortunately, KC’s team of doctors is unable to perform such an extensive/complicated surgery, factoring in Kc’s other medical conditions stemming from her Artery Replacement Surgery and brain tumors. Although Kc continues to push through, being the strong woman that she is, insurance will not cover the out-of-state costs to receive brain surgery from the Pacific Pituitary Disorder Center (California), UPMC (Pittsburgh, PA), or University of Texas Southwestern Medical Center (Dallas, TX), where Kc will be seen for second and third opinions on removing all brain tumors present in one surgery. Depending on physician requirements, Kc will absorb 100% of travel, medical, room and board, and hospital/surgical costs, on top of her regular responsibility of maintaining costs associated with taking care of her children, home, and medical costs here. All funds raised will go directly to saving my best friend’s life!! Without brain surgery, she will die! The rate at which the tumor on her pituitary gland is growing continues to inhibit her everyday ability to think, move, and properly function. Her speech and thought process have significantly declined, making it hard for her to remember short-term events, information she is trying to relay when having a conversation, physical balance and strength decline, etc. Getting brain surgery and finding the best doctor to perform the surgery is all that Kc should need to worry about. Without our help, the dream of living a full and enriched life will be gone! All her work in the community as a trailblazing licensed social worker, fair and equal housing advocate, faith and worship church leader, mental/behavioral health change agent, refuge for battered women and women and children fleeing inter-partner violence, and one of God’s Chosen Ones, will be gone! Please help us keep Kc alive and thriving by donating today! No amount is too small! Every prayer, well-wishes, and donation is greatly appreciated!!


