- T
- J
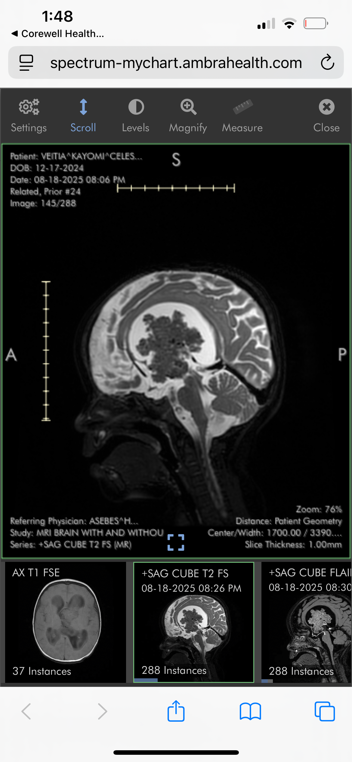
My name is Taylor, I am 20 years old and the mother of 10-month-old Kay’Omi Celeste. On August 18th, 2025, my then 8-month-old, Kay’Omi, was unexpectedly diagnosed with a large brain tumor.
This has changed both of our lives drastically overnight. Kay’Omi has had multiple surgeries within these two months. She has also had multiple doctor’s appointments and long hospital stays. We are currently unsure if the tumor is cancerous or not, or what exactly it is, but she is getting chemotherapy just in case it is and to shrink it before they are able to take it out. I’m still processing the fact that my baby is going through this so young.
I was always a working, independent mom/person, but Kay’Omi’s diagnosis has forced me to stop working. This has been a long two months for both of us. I’ve had so many sleepless nights and endless days, but I continue to keep going for my daughter.
I appreciate anything anyone can donate, even if it’s just a prayer.





