- A


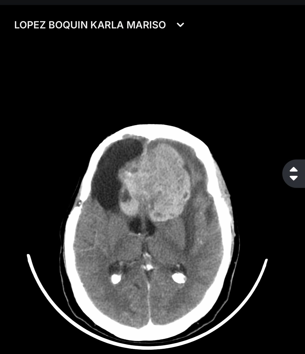
We are asking for help for Karla Lopez. She underwent her third neurosurgery for a brain and nasal tumor, as the tumor also invaded her nasal passages. Her children have covered all of her expenses for her last three surgeries. Unfortunately, she experienced post-surgical complications after her last surgery on May 12, 2025.
Her children are currently seeking help to cover the following procedures:
* External drainage
* Cranial valve installation
* Nasal tumor surgery
* Medical costs
Her children are asking for your support so their mother can get through this situation.
Helping a sick person is a blessing.
Remember, today it's for her, tomorrow it could be for you. Every little bit helps!
Thank you so much, and many blessings.
Estamos pidiendo ayuda para Karla Lopez, ella fue sometida a su 3ra neurocirugía debido a un tumor cerebral y nasal ya que el tumor invadió también las fosas nasales. Sus hijos han costiado todos sus gastos de las ultimas 3 cirugias que ella ha tenido. Desafortunadamente ella tuvo complicaciones postquirurgica despues de su ultima cirugia el 12 de Mayo 2025.
En estos momentos sus hijos estan en busca de ayuda para cubrir los siguientes procedimientos:
* Drenaje externo
*Instalacion de valvula craneal
*Cirugia de tumor Nasal
*Costos medicos
Sus hijos piden de su apoyo para que su mamá pueda salir de esta situacion.
Ayudar a un enfermo es una bendición, recuerda que hoy es por ella, mañana puede ser por ti.
Cada ayuda cuenta!
Muchas gracias y Bendiciones.



