Kali is my 20-year-old daughter, and she’s one of the kindest, most selfless people I know. She’s an amazing mom to her one-year-old son, Kai, and has always been great with children and animals. Kali grew up in West Saint Paul, attending Moreland for elementary and middle school, then Henry Sibley (now Two Rivers) for high school before graduating from DCALS in 2024 with her diploma and CNA license. After high school, she shifted her dreams from nursing to Early Childhood Development, always following her heart and her gift for caring for others.
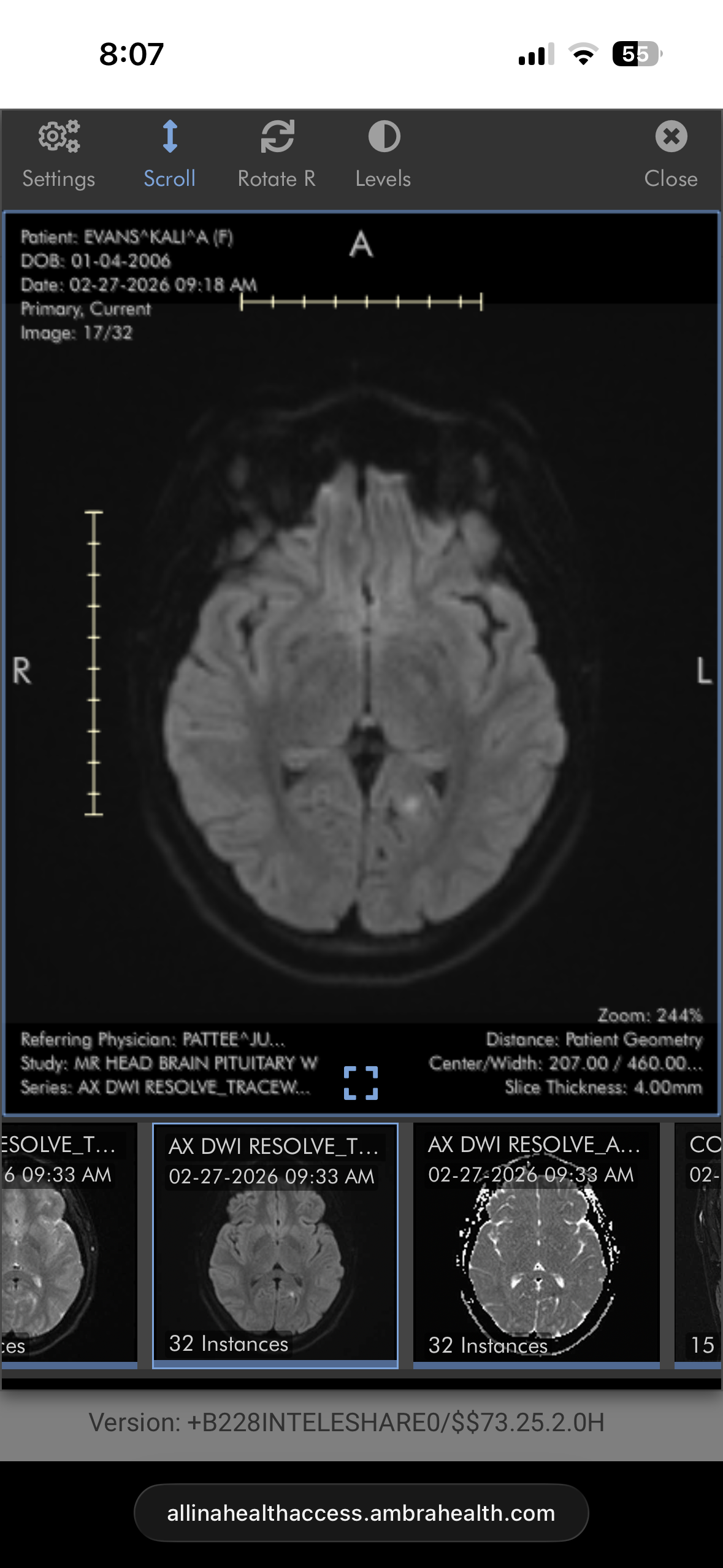
On the evening of February 26th, 2026, Kali suffered two acute ischemic strokes caused by a vessel occlusion in her brain. This was brought on by a previously unknown heart defect called a Patent foramen ovale (PFO). During her pregnancy last year, it was also discovered that she has an enlarged pituitary gland pressing on her optic nerve, causing her to sporadically lose vision. She’s been working with neurology and a hormone specialist since Kai’s birth, but we’re still waiting for more answers. When she lost vision again recently, we thought it was due to the pituitary gland, but it turned out to be strokes. During her hospital stay, the heart defect was found and will need to be repaired. Kali now faces a long recovery with appointments for cardiology, neurology, and occupational therapy. She has lost feeling on her right side, which has delayed her walking and motor skills, and she’s lost peripheral vision, making her unable to drive for now.
Funds from this GoFundMe will go toward medical expenses, equipment like a walker or cane, transportation, and supporting Kali and her son while she recovers. We are so deeply grateful for any and all support for Kali and Kai during this time, even if that support comes in the form of prayer and well wishes for her recovery. Kali is so selfless and would never ask for help, but she very much deserves it. She would give the world for those she loves and even for a stranger—she has such a beautiful, caring heart and soul. Thank you for helping us support her on this journey.
On the evening of February 26th, 2026, Kali suffered two acute ischemic strokes caused by a vessel occlusion in her brain. This was brought on by a previously unknown heart defect called a Patent foramen ovale (PFO). During her pregnancy last year, it was also discovered that she has an enlarged pituitary gland pressing on her optic nerve, causing her to sporadically lose vision. She’s been working with neurology and a hormone specialist since Kai’s birth, but we’re still waiting for more answers. When she lost vision again recently, we thought it was due to the pituitary gland, but it turned out to be strokes. During her hospital stay, the heart defect was found and will need to be repaired. Kali now faces a long recovery with appointments for cardiology, neurology, and occupational therapy. She has lost feeling on her right side, which has delayed her walking and motor skills, and she’s lost peripheral vision, making her unable to drive for now.
Funds from this GoFundMe will go toward medical expenses, equipment like a walker or cane, transportation, and supporting Kali and her son while she recovers. We are so deeply grateful for any and all support for Kali and Kai during this time, even if that support comes in the form of prayer and well wishes for her recovery. Kali is so selfless and would never ask for help, but she very much deserves it. She would give the world for those she loves and even for a stranger—she has such a beautiful, caring heart and soul. Thank you for helping us support her on this journey.
Organizer and beneficiary
Kali Evans
Beneficiary




