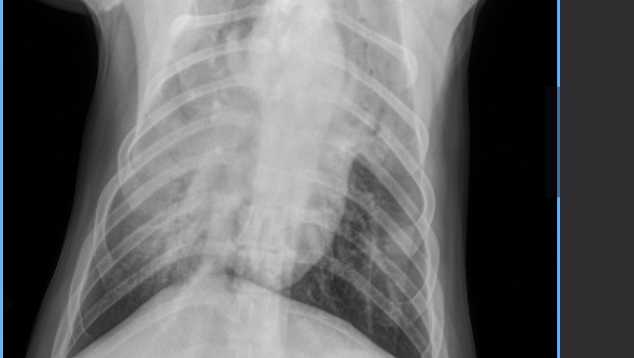
Our sweet one year old girl Kaia spent 8 days in the ICU with aspiration pneumonia in both of her lungs. She was born with a narrow trachea with elongated palette. We have spent over 23,000 to help Kaia while she fought for her life on oxygen support. She has since come off of life support but has a long road ahead of her for the rest of her life with respiratory therapy and tracheal washes. She will always be prone to pneumonia and has lung scarring which she will need continued treatments for the rest of her life. Please pray for our baby girl and if you are able to and please donate so she can continue to receive lifesaving care. Please, we are desperate and have completely run out of funds, maxed out every credit card and used all of our savings.
Kaia spent the first year of her life as a pet therapy dog and will continue to assist residents at a local nursing home as long as she gets better and maintains lifesaving treatments for the rest of her life. Please help us help our baby girl.



