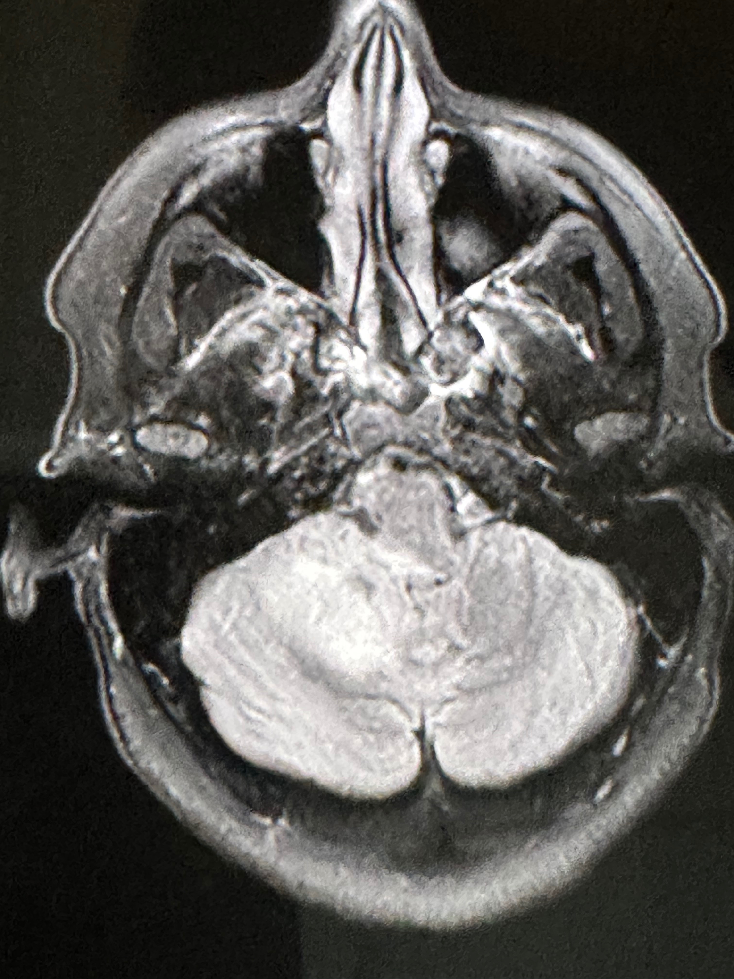
Well, for the ones who don’t know me, I’m Jennifer, mother of 6. Out of nowhere, I ended up sick and went to the emergency room. They told me it was vertigo. A couple of days go by, and I get worse and worse, where I had to call 911 again and end up back in the ER. They ended up doing a CT scan and MRI, and they found a tumor/mass in my brain in the cerebellum. I got admitted to the hospital for two weeks, where they said my brain on the right side was too swollen, and they couldn’t do anything due to where the tumor is at. So, they put me on steroids. I also got sent home after the two weeks on the steroids. After one week and a half, I finished all the steroids. I started to get pain again in my head, where medicine wasn’t helping, so I ended up back in the hospital and got admitted again. They did 3 more MRIs and a spinal fluid test to see if they could find out what it could be. I have 3 more tests that need to be done.
What I’m trying to say, and I hate to ask because I’m not the type of person to ask for help, but I’m at a point where I can’t work due to my vertigo and off-balance issues. My job doesn’t offer FMLA, and I can’t get government assistance due to the income I had coming in. If y'all can please help with anything, share, I just want to make sure we are okay and my kids are okay, and these hospital bills get paid. Thank you, even if you just shared this.
Organizer
Jennifer lizardi
Organizer
Jacksonville, FL



