My name is Heidi, and my sister Kathy is my best friend. For the past four years, I have watched her travel an incredibly difficult medical journey. It all began with what should have been a simple ulcer repair, but complications arose when her spleen was accidentally nicked during surgery. She woke up in unbearable pain, and doctors had to act quickly to stop internal bleeding. A drain tube was placed in her spleen, but it became lodged in her colon, causing her to go septic. During that emergency surgery, two inches of her colon were removed, and her heart began to fail. Kathy then needed a pacemaker to help her recover.
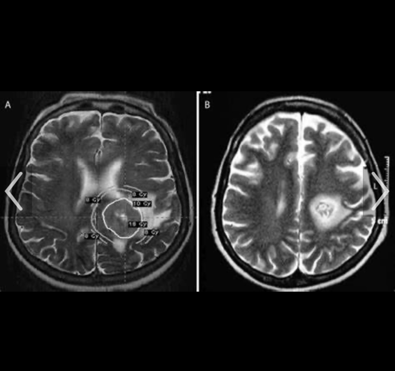
Just three weeks later, she had to have a piece of her stomach removed because her body was producing too much acid. We thought we were finally on the road to recovery, but two weeks before Christmas of 2025, doctors discovered a brain tumor. Thankfully, the tumor was removed successfully, but Kathy and her family are now facing a long road to recovery.
Kathy and her husband are the loving parents of three small children, two of whom have autism. The family is doing everything they can to stay strong, but the financial burden of medical bills, therapy appointments, and daily living expenses is overwhelming. Your generous donation of any amount will help cover medical expenses, co-pays for medicines, therapy appointments, and a desperately needed motorized chair for Kathy. Your kindness and support will help keep this family from financial ruin and give them hope as they continue to fight through these challenges. Thank you for being part of their journey.
Just three weeks later, she had to have a piece of her stomach removed because her body was producing too much acid. We thought we were finally on the road to recovery, but two weeks before Christmas of 2025, doctors discovered a brain tumor. Thankfully, the tumor was removed successfully, but Kathy and her family are now facing a long road to recovery.
Kathy and her husband are the loving parents of three small children, two of whom have autism. The family is doing everything they can to stay strong, but the financial burden of medical bills, therapy appointments, and daily living expenses is overwhelming. Your generous donation of any amount will help cover medical expenses, co-pays for medicines, therapy appointments, and a desperately needed motorized chair for Kathy. Your kindness and support will help keep this family from financial ruin and give them hope as they continue to fight through these challenges. Thank you for being part of their journey.



