Hello friends and family,
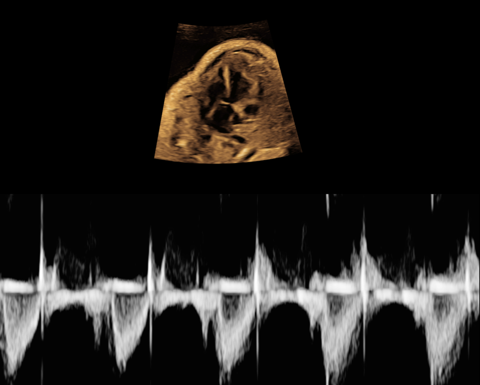
This is one of the hardest messages we’ve ever had to write. As we prepare to welcome our baby girl, Amalia Theia, we’ve learned that she will be born with a rare condition called Oculofaciocardiodental syndrome (OFCD). Less than one in a million females are born with this condition. This affects not only her facial features and vision, but her heart as well. She will be born with a severe heart condition called Transposition of the Great Arteries. Amalia will need life-saving open heart surgery shortly after taking her first breath, and her recovery will be long and delicate. We will have to deliver in Colorado so she can be in the hands of specialists, and we may be there for up to three months as she fights her way toward healing.
As parents, all we want is to give her every chance to grow, to laugh, to live the beautiful life she deserves. Reaching out for help is not easy, but during this incredibly overwhelming time, we find ourselves needing the support of our community more than ever. Your love and support mean everything to us. And if you’re able, we humbly ask that you consider donating to help us stay by Amalia’s side throughout this journey. Every bit of support, no matter the size, lifts a weight from our hearts and helps us focus on what matters most, being there for our baby. Thank you for holding Amalia and our family in your hearts. We are deeply, deeply grateful.




