- G
- A

PLEASE HELP ME SAVE FENRIR
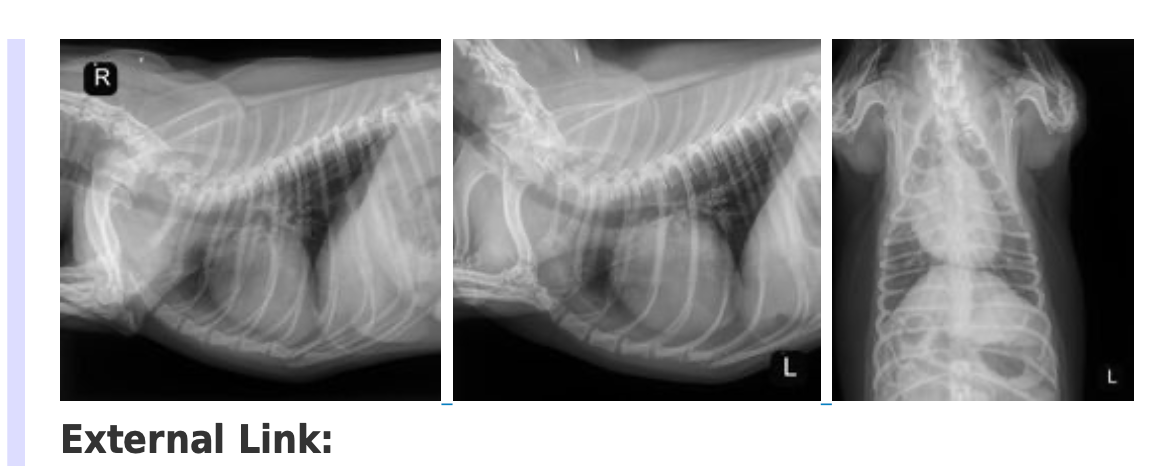
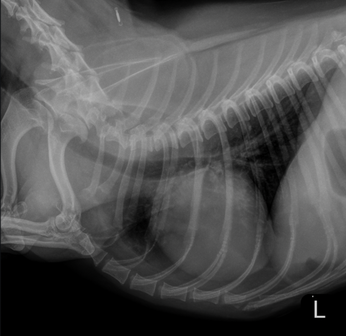
This is my baby, Fenrir. On Saturday, 11/8/25, he suddenly got sick around 1 pm, threw up, and inhaled his own vomit. After about 20 minutes, his breathing became labored. After asking advice from friends in the field, we immediately rushed him to an ER vet. He was immediately taken from us upon arrival, and placed into a special clean oxygenated room. Where he was placed on 100% Oxygen. We learned that after he threw up, he aspirated aka (sucked fluids into his lungs), causing immediate aspiration pneumonia. This is a serious, painful lung infection that’s making it hard for him to breathe.
He stayed in a controlled environment for over 24 hours. We were able to pick Fenrir up today 11/10/25 to continue monitoring and treating at home since being home will always help a pet or human heal faster. Our bill came to a grand total of $4,694.74 + $1,173.65 = $5,868.39. We are looking at having to continue care since in a week he will need to have another set of chest exams done as well as blood levels drawn to confirm all is okay. We are asking on the higher side of what we have put on a credit card, since more care is most likely needed and all we care about is getting him back to 100% healthy. We would like to be able to provide that necessary care, but unfortunately, do not have the funds needed if it exceeds another $1,000.
I am not wealthy and I’m currently unemployed, looking for a new tattoo shop to call home. But I will do anything to keep Fenrir here with us. He is my heart, my shadow, my everything.
I’m a tattoo artist and I’m willing to:
• Tattoo you
• Walk your dog
• Clean your house
• Help with errands/odd jobs
I was encouraged to start a GoFundMe, which is incredibly difficult to do. I am a person who is all about earning and working for what is required from me to take care of myself and my family. Unfortunately, I am in a low situation in life regarding financial stability. I’m asking for a chance to earn whatever I can to pay for his care and give him the best shot at recovery. Or if anyone is able to help by donating even a dollar, it is greatly appreciated! He has a follow up appointment with our family veterinarian when he begins eating on his own again.
We live in the Bay Area near Oakland, CA. If you have any work I can do, or know someone who might, please DM me or comment. If you can’t help directly, a share means the world to us.
Thank you for reading, for caring, and for sending love to my sweet Fenrir.






