Support Erik Snyder's Ankle Surgery Recovery

  • R
  • G
  • E
16 donors
0% complete

$1,300 raised of $8K

Support Erik Snyder's Ankle Surgery Recovery

Donation protected


Help me Heal

Hi everyone,

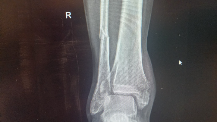
I’m reaching out during a really challenging time. I recently suffered a fractured ankle that requires orthopedic surgery. While I’m fortunate to have insurance, the out-of-pocket expenses for the surgery, follow-up care, and recovery are still significant.

On top of that, I’ll be unable to work for at least 8 weeks while I heal—and unfortunately, I don’t qualify for short-term disability benefits. This means no income during my recovery period, which makes covering medical bills, rent, groceries, and basic living expenses extremely difficult.

If you're able to contribute anything—no matter how small—it would mean the world to me. And if you can't donate, simply sharing this page would be a huge help.

Thank you from the bottom of my heart for your support, kindness, and generosity.

With gratitude,
Erik Snyder

Organizer

Erik Snyder
Organizer
Aberdeen, MD
  • Medical
  • Donation protected

Your easy, powerful, and trusted home for help

  • Easy

    Donate quickly and easily

  • Powerful

    Send help right to the people and causes you care about

  • Trusted

    Your donation is protected by the GoFundMe Giving Guarantee