- G
- S
Hi, my name is Gabby, and I’m reaching out for help with something incredibly important to me — my dog, Ellie. She’s been with me since she was just a tiny puppy, and she’s more than a pet; she’s family.
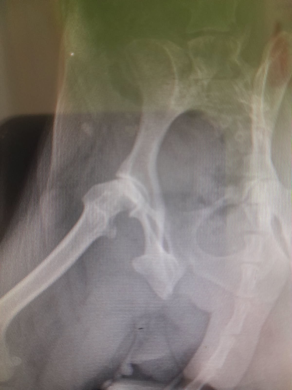
Recently, something unexpected happened: Ellie was injured and is now suffering from a broken hip. She’s in a lot of pain and struggling to move, and the longer we wait, the harder it’ll be on her. The vet says she needs surgery as soon as possible, and the estimated cost is around $2,800, not including possible aftercare or medications.
I’ve never done anything like this before, but I’m asking for help because I can’t do this alone. I want to give Ellie the best chance to recover and get back to being the playful, happy dog she’s always been.
Anything you can give, even just sharing this, would mean the world to me and to Ellie. Thank you so much for reading and for caring.
With love,
Gabby






