Support Derek’s Fight Against Brain Cancer

  • A
80 donors
0% complete

$6,545 raised of 

Support Derek’s Fight Against Brain Cancer

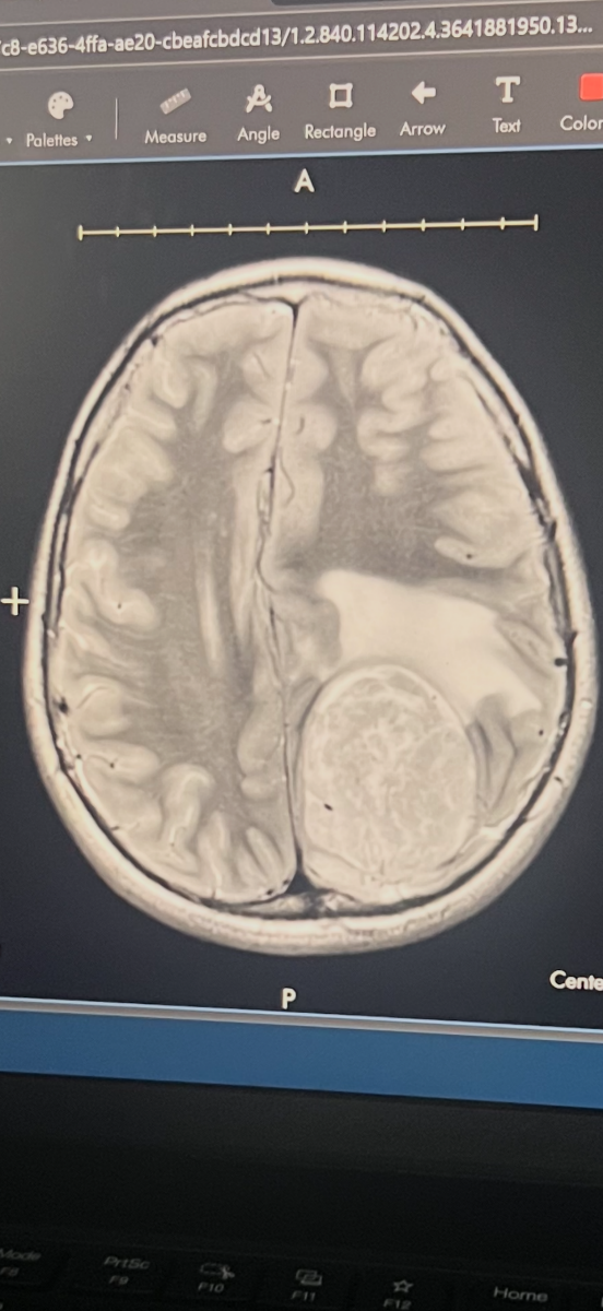
On February 18, 2026, Derek (affectionately known as Baby D) was sent to Helen DeVos Children’s Hospital for an MRI after his eye doctor noticed swelling and traces of blood on his optic nerves. After several tests and blood work, Derek’s MRI revealed a massive brain tumor measuring 5.72 cm that needed to be removed immediately. He was admitted to the PICU, and his world—and his family’s—changed overnight. Derek underwent brain surgery on February 20, 2026, and spent nearly a week in the hospital.

On March 11, Derek’s family received the pathology results: the tumor was a high-grade Anaplastic Meningioma, a rare and aggressive form of cancer. In just two weeks, Derek will face another brain surgery to remove the remaining portion of the tumor, followed by radiation treatments. These treatments will take this fun-loving, adventurous 10-year-old away from baseball, school, and the summer he was so excited for. But if you know Derek, you know he is strong, brave, and full of hope. He’s staying positive and believes the tumor won’t come back after treatment. With very little research available on this rare grade of meningioma, Derek’s family is taking everything one day at a time.

The funds raised will help cover travel to doctor’s appointments, daily expenses during treatment, lost income, and support for Derek’s mother, Bri, who serves as an E4 specialist in the Grand Rapids Army National Guard. We are so grateful for any support you can offer—whether it’s a donation or sharing Derek’s story. Your kindness will help Derek and his family face the challenges ahead with hope and strength. Thank you for standing with them during this difficult time.

Organizer

Jill Bowen
Organizer
Dimondale, MI
  • Other
  • Donation protected

Your easy, powerful, and trusted home for help

  • Easy

    Donate quickly and easily

  • Powerful

    Send help right to the people and causes you care about

  • Trusted

    Your donation is protected by the GoFundMe Giving Guarantee