I have a big ask from everyone.
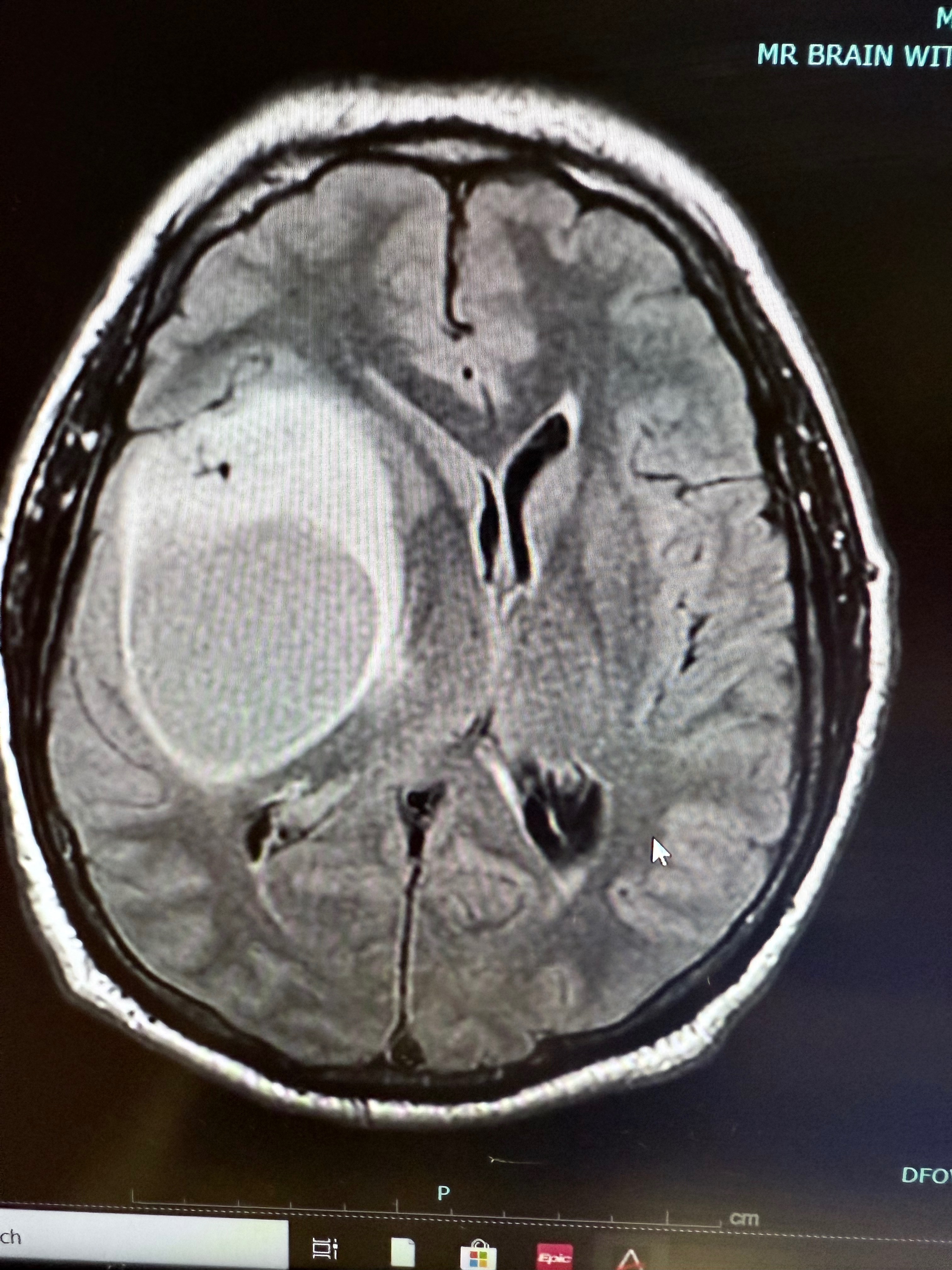
On November 21st, we started going through the craziest thing we thought we would ever go through. Starting with an emergency “flight for life” to Colorado Springs for a fist-sized brain tumor that we discovered in Craig’s head.
I’ll never forget that day and the 8 hours of waiting for the surgery to be over. Then the wait for him to wake up. I sat next to his bedside, playing his favorite songs over and over. He came to, looked at me and simply said “I love you” and immediately started singing to me along with the music.
3 days later, he was discharged. Doctors and nurses were shocked over the fact that he was laughing and walking, handing out Hershey’s Kisses to nurses and neighbors in order to spread holiday joy to others while joking like he didn’t just go through a MAJOR brain surgery. We still have no idea how long that tumor had been there.. So we were discharged and drove the 6 hours home.
It was so good to be home for Thanksgiving.. that lasted for almost 24 hours…
But that Thanksgiving night was ended with an ambulance ride back to the hospital. Craig’s intestines had torn open and he was septic. For a moment, I thought I’d lose him. But like the warrior he is, he pulled through after a huge surgery for a perforated diverticulitis, resulting with a colostomy.
Did I mention the full shoulder replacement 2 months earlier in October?
Between these 3 surgeries, we lived at the hospital for almost a month. We left the hospital with an incurable and aggressive grade 4 Brain Cancer diagnosis.
Now, it’s radiation 5 days a week and chemo every day. We have love and light in our hearts and a fierce determination to beat this. Our children Aliya, Kailee, Karah and Mark are our motivation. We plan to watch them continue to grow, build families of their own, then spoil the heck out of our grandchildren some day. You all are helping us through this journey.
I am no longer working so I can be at home for Craig and our autistic son. I’ve also been battling Lupus for quite some time, so some days are much tougher than others…
The financial strain is… overwhelming. The money raised will go directly to this year’s rent, car payments, food, gas, and medical equipment for Craig’s colostomy supplies. Your support will help us keep our family together and provide some stability during this incredibly difficult time.
This is a very personal part of our lives to share with the world but terribly necessary. Please continue to share our story and the link. This year is going to be a tough one but we can get through it with your help.
Again and again, loudly, THANK YOU EVERYONE FOR THE LOVE AND SUPPORT. We couldn’t do this alone. We are in the fight for our lives and I am so incredibly grateful for you all
❤️ Marla, Craig, and family






