- T
- R
- R
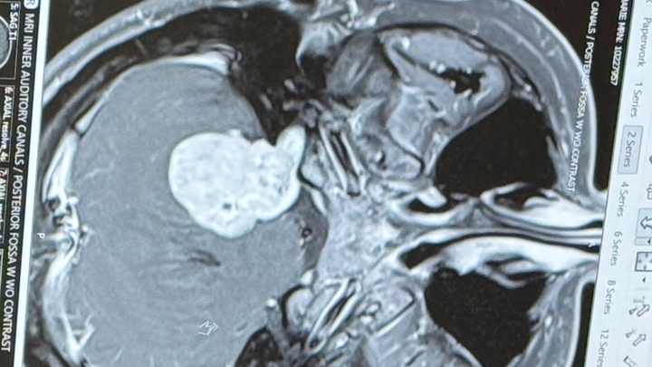
Hello, friends and family. My wife, Bre, and the mother of my kids went into the ER yesterday for ear pressure and found out that she has a big tumor.
It is not cancerous, but she does need surgery, and it's a 12-18 hour surgery with a three-month recovery time. Bre and I will be off work for three months and need help with monthly bills for our house, groceries, etc.
Whatever you guys can donate will be greatly appreciated.




