- B
- M
Today was every pet owner’s nightmare. My beloved dog, Aries, was riding in the truck, enjoying the fresh air with her head out the window like she loves to do. But in a split second, tragedy struck — the truck took a corner, and Aries fell out.
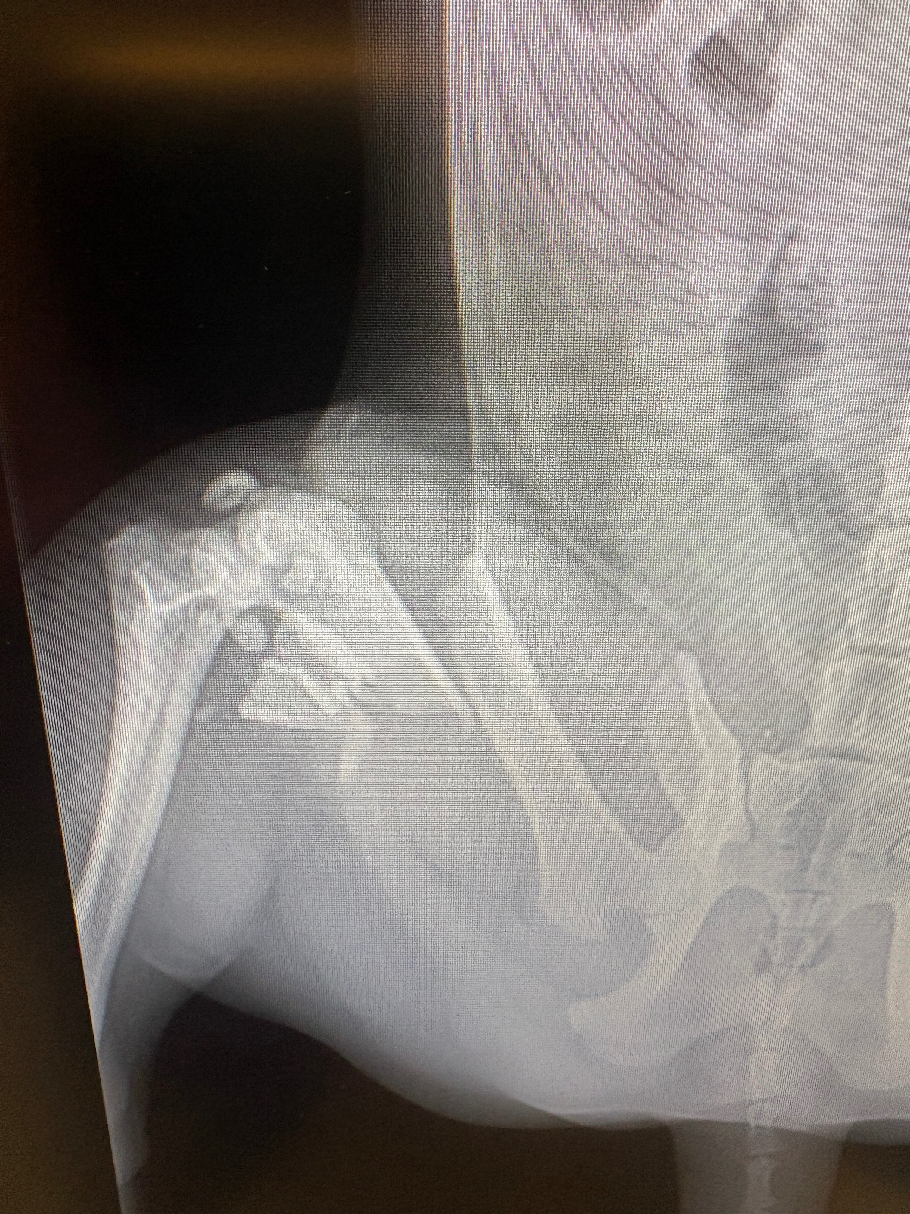
Our sweet girl now has a compound fractured femur and needs urgent surgery to save her leg and allow her to walk again. The veterinary team says the procedure will cost $10,894 — an amount far beyond what we can afford. Without this surgery, Aries faces unimaginable pain and the possibility of losing her leg.
Aries is more than a pet — she’s family. She’s loyal, loving, and brings joy to everyone she meets. Watching her lie in pain, confused about why she can’t stand, is heartbreaking.
We are asking for help from friends, family, and kind strangers to give Aries the second chance she deserves. Every dollar brings us closer to getting her the care she urgently needs.
If you can, please donate and share this fundraiser with others. Your kindness could be the reason Aries walks, runs, and plays again.
Ways you can help:
Donate any amount — big or small — to help cover surgery costs.
Share this page with your friends, family, and community.
From the bottom of our hearts, thank you for helping us save Aries.






